L'article de l'Université de Picardie Jules Verne publié en 2026 dans TheConversation confirme un tournant dans notre compréhension de l'alcoolisme : le cerveau ne réagit pas seulement à l'agression chimique de l'éthanol, mais s'adapte — de façon malveillante — à la rythmique des sevrages répétés. Ce n'est pas la "cuite" qui détruit le plus, c'est le "montagnes russes" imposé aux neurones. Un article de TheConversation, approfondi avec mon navigateur Neo.
Image : Nano Banana
La "signature" de la fréquence
Les recherches récentes (2025-2026) montrent que le cerveau possède un mécanisme de détection de la répétition. Lors d'un épisode isolé, le cerveau active des mécanismes de protection.
Mais lorsque les épisodes se rapprochent, la plasticité synaptique (la capacité des neurones à communiquer) est détournée. À haute fréquence, le cerveau ne "s'éteint" plus, il entre dans un état d'hyperexcitabilité pathologique qui finit par "griller" les circuits de la mémoire.
L'effet "Genre" : Une vulnérabilité accrue des adolescentes
Une découverte majeure de 2026 souligne l'interaction entre l'alcool et les hormones. Chez les adolescentes, les œstrogènes (hormones féminines) agissent comme un amplificateur de toxicité.
Durant certaines phases du cycle (proœstrus), la plasticité de l'hippocampe est beaucoup plus vulnérable à l'alcoolisation rapide, rendant les jeunes filles statistiquement plus exposées à des dommages mnésiques durables que leurs homologues masculins pour une même quantité bue
Neuroinflammation et "boîte noire"
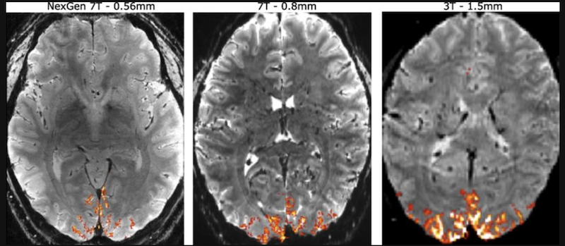
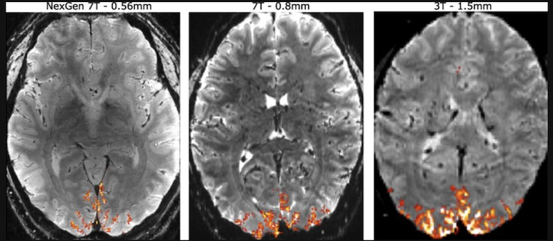
En 2024, l'utilisation de l'IRM à 7 teslas a permis de voir ce qu'on ne soupçonnait pas : le binge drinking déclenche une neuro inflammation persistante.
Même après l'élimination de l'alcool par le foie, les cellules de soutien du cerveau (la glie) restent en état d'alerte, libérant des molécules inflammatoires qui grignotent les connexions synaptiques pendant plusieurs jours.
L'espoir de la "Re-myélinisation"
Tout n'est pas sombre. Les données de l'INSERM (2024-2025) confirment que la plasticité cérébrale permet une forme de "réparation" automatique appelée re-myélinisation. Si les épisodes cessent, le cerveau peut reconstruire la gaine isolante des neurones.
De plus, l'exercice physique est désormais scientifiquement reconnu comme un puissant levier pour stimuler la neurogenèse hippocampique (création de nouveaux neurones), aidant à restaurer les fonctions cognitives altérées
Source : https://www.mabiologie.com/2025/11/les-effets-de-lalcool-sur-le.html
Source : https://theconversation.com/topics/alcool-26411
Petit lexique :
- Hippocampe : Petite structure au cœur du cerveau, véritable "gare de triage" de la mémoire. C'est la première zone touchée par le binge drinking.
- Plasticité synaptique : Capacité des neurones à créer de nouveaux ponts entre eux. C'est la base biologique de tout apprentissage.
- Récepteurs NMDA : Capteurs sur les neurones qui reçoivent les messages chimiques. L'alcool les bloque pendant l'ivresse, puis ils deviennent hyperactifs pendant le sevrage, causant des dommages cellulaires.
- L'IRM à 7 teslas (ou 7T) voir note plus loin
Addendum : l’IRL à 7 teslas ou 7T
C'est un véritable bond de géant pour l'imagerie médicale. On pourrait comparer cela à la différence entre un vieux téléviseur à tube cathodique et un écran 8K de dernière génération.
Voici une explication simplifiée de ce que c'est et pourquoi cela change tout pour la recherche sur le cerveau.
L'IRM à 7 Teslas : Le microscope du cerveau vivant 🔍
Le terme "Tesla" (nommé d'après l'inventeur Nikola Tesla) est l'unité qui mesure la puissance d'un champ magnétique. Pour vous donner une idée, une IRM standard dans un hôpital fonctionne généralement à 1,5 ou 3 teslas. Une machine à 7 teslas est donc plus de deux fois plus puissante que les meilleures IRM classiques.
Une précision chirurgicale
Alors qu'une IRM classique peut voir des détails de la taille d'un grain de riz, l'IRM 7T descend à la taille d'un grain de sable (environ 400 microns). Cette précision permet aux chercheurs de voir non seulement les grandes zones du cerveau, mais aussi les différentes couches du cortex (l'écorce du cerveau) et les petits amas de neurones.
Dans le cadre de l'article sur l'alcoolisme, l'IRM 7T a permis de voir :
- La neuroinflammation en direct : On peut observer la réaction des petites cellules de défense du cerveau (la microglie) qui s'activent après une cuite.
- Les micro-lésions : Elle détecte des dommages minuscules dans l'hippocampe que les machines classiques ne voyaient pas, expliquant pourquoi certains jeunes ont des pertes de mémoire même si leur IRM à l'hôpital semblait "normale".




