Non, une nouvelle blessure... -_-
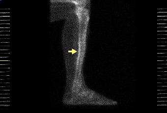
La périostite est l’irritation inflammatoire de la membrane externe de l’os. Elle est fréquente chez le coureur et elle se manifeste par une douleur ou une brûlure ressentie au niveau du tibia. Et je pense que j'ai cette pathologie.

Je dis je pense car je viens juste de prendre rendez-vous avec un spécialiste pour savoir quel est réellement mon problème. Cependant je n'ai pas de chance, cette complication survient pendant une très mauvaise période et elle risque de rendre encore plus difficile le marathon du mois de novembre...
