Tout d'abord, qu'est ce qu'un AVC?
Non, c'est pas l'Association Viticole Champenoise... C'est plutôt un "Accident Vasculaire Cérébral" ou autrement dit une "attaque cérébrale" ou encore "boum dans la tête" pour les enfants.
Si on décortique le nom, on comprend que c'est quelque chose d'inattendu et de soudain, comme tout les accidents, qui se passe dans les vaisseaux du cerveau.
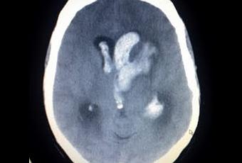
Ok maintenant, qu'on a grossièrement défini l'AVC, voyons à quoi il ressemble:
Honnêtement, ça vous fout les boules, une pathologie qui ressemble à un bonhomme qui sourit??D'où il vient?
L'AVC adore les vieux obèses hypertendu qui fument et qui on le coeur qui palpite. Mais, c'est pas un difficile, il se contentera volontiers d'un cinquantenaire avec peu trop de cholestérol et de quelques battements cardiaque irrégulier pour se plaire...
L'AVC survient de deux manière différente soit par une artère du cerveau qui se bouche à cause d'un caillot, soit l'artère explose carrément sous l'effet d'une pression trop importante. En terme technique on dit que l'AVC est soit ischémique soit hémorragique.
Commençons par l'AVC ischémique (80% des AVC): Pendant que vous fumez tranquillement votre clope après un bon gros repas en vous disant que la vie est cool. Vos artères se bouchent lentement mais sûrement. En fait, vos artères sont aussi chiante qu'un prof de fitness, elles n'aiment pas le gras, le tabac et elles adorent faire du sport, tout ce qui est bon dans la vie, les obstruent un peu plus.
Ces dépôts réduisent petit à petit le diamètre de l'artère qui finira un jour par être bouchée entièrement par un caillot qui passait par là et qui demandait rien à personne. Tout les neurones qui se trouvent après le caillot meurt donc par manque de sang et d'oxygène.
Pour l'AVC hémorragique, c'est légèrement différent. Sous l'effet d'une pression trop haute, les vaisseaux s'affaiblissent et finissent un jour par fuir comme les vieux tuyaux d'arrosage. Quand le sang fuit d'une artère, tout ce qui est après la fuite reçoit moins de sang et donc meurt de manque de nutriment et d'oxygène.
Comment on le reconnaît?
L'AVC fait des dégâts dans le cerveau, les signes seront donc neurologique. Il y aura donc une hémiplégie, une parésie faciale, une aphasie, une anosognosie, une ataxie, des parésies, des paresthésies et autres... Ok j'arrête de me la péter avec mes termes techniques...Dans l'AVC, les symptômes principaux sont une paralysie d'un côté entier du corps, une difficulté à s'exprimer voir une impossibilité de parler, une perte de sensibilité d'un membre, perte de vision et des maux de tête.
Vu comme ça, ça à l'air horrible, mais il y a des symptômes qui sont vachement marrant (sauf pour la personne qui les vit évidemment):
L'héminégligence, c'est le fait d'oublier une partie de son corps, de ne plus le reconnaître comme faisant partie de son propre corps. Certains patient ne reconnaissent pas leur propre bras, ils ont tout le temps l'impression qu'il y a le bras de quelqu'un d'autre dans leur lit... Certains paniquent et demandent à ce qu'on l'enlève, c'est assez impressionnant. Ils peuvent aussi oublier tout ce qui se trouve du côté de l'attaque, ils ne mangent pas un des côté de l'assiette ou ils essayent de descendre de leur lit en oubliant une jambe dedans...
L'anosognosie, ça c'est le fait d'oublier qu'on est malade. Les gens ne comprennent pas pourquoi ils sont à l'hôpital, ils sont certain de n'avoir aucun problème, même lorsqu'on leurs montre qu'ils sont incapable de marcher. Vous imaginez même pas les excuses qu'ils inventent pour justifier leur troubles...
Mais mon préféré c'est l'aphasie, ça c'est le fait de ne plus pouvoir parler du tout ou pas correctement. Dans certains cas, les patients confondent les mots, ils parlent mais disent absolument n'importe quoi, mais le pire c'est qu'il ne s'en rendent pas compte et on l'impression de parler correctement.
Bon ok, maintenant comment traiter un AVC?
Si c'est un caillot qui est venu boucher une artère on donne un médoc pour dissoudre le caillot. Ensuite, on donnera éventuellement des médicament pour fluidifier le sang pour éviter que ça recommence, on donnera aussi des médic contre le cholestérol et on vous dira de faire du sport et de manger moins gras. Si l'AVC est dû à la tension trop haute, on donnera des antihypertenseur. Après un AVC, on essaie de faire beaucoup de prévention parce que l'AVC est une pathologie à retardement. Les gens ne meurent pas forcément tout de suite. 40% des gens qui ont eut un AVC meurent dans l'année. C'est la deuxième cause de mort au niveau mondial.
Donc si la prochaine fois que vous allez voir votre grand-père, il ne bouge pas de son fauteuil et dit n'importe quoi, appelez le SAMU...Vous lui sauverez peut-être la vie.
Et ne traînez pas trop, il y a un dicton médical en cas d'infarctus qui dit: "le temps, c'est du muscle" en cas d'AVC, on peut dire que "le temps, c'est des neurones". Donc plus vous attendez pour aller à l'hôpital, plus il y aura de dégâts irréversible.Pour d'autres infos: Sur Wikipedia et sur le site de l' AVC qui est génial.
Source photo: Wikipedia