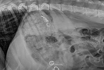
... Le Bull-Terrier est carnivore comme tous les chiens. Le Bull-Terrier est omnivore comme nous. Le Bull-Terrier est aussi frutivore, le Bull-Terrier est Playmobilivore, Numismativore, ParisMatchivore et récemment CouronnedefleursBalinaisivore. Alors les fleurs en papier, pas de problème, ça passe tout seul, le bois, ça se chique facilement et ça se décompose lentement mais les petites pièces en acier qui retiennent tout le bordel, ça passe moins bien. Enfin, ça passera. D'ici deux jours. D'un autre côté, on n'a pas tous les jours l'occasion de voir son chien de l'intérieur et Ekta, je dois te dire que tu es très jolie du dedans aussi. Voilà, c'est dit.
