Dernière modification le 01-11-2010
Estelle Vereeck, Docteur en chirurgie-dentaire, auteur d'ouvrages sur les dents parus aux éditions Luigi Castelli

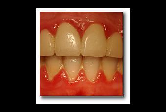
Gencives qui saignent : et si vous manquiez de vitamine C ?
Sans atteindre ces extrêmes, car le scorbut ne se voit pratiquement plus sous sa forme pure, il est fréquent que des gencives qui
saignent soient causées par un manque de vitamine C. Notre alimentation moderne (cuisson longue, conserves, etc.) est souvent carencée en vitamine C. Il peut arriver que l'organisme manque de
vitamine C, en particulier en période hivernale, lorsque les besoins (infections) sont accrus et les apports insuffisants. Une avitaminose C peut être révélée par des symptômes gingivaux :
gencives qui saignent, sont gonflées, douloureuses… Si vous ne consommez pas suffisamment de fruits et légumes frais et que vos gencives saignent en dépit d'un brossage régulier, vous devez vous
poser la question d'un manque de vitamine C. Les fumeurs doivent être particulièrement vigilants car le tabagisme les expose à développer des problèmes dentaires, dont la maladie parodontale ou
déchaussement, d'autant plus que fumer détruit la vitamine C.
Nourrir ses gencives par la phytothérapie
Pour prendre soin de ses gencives par l'intérieur, il est recommandé de veiller à des apports réguliers de vitamine C. Le mieux est
de préférer des apports naturels de vitamine C sous forme de fruits et légumes frais ou de plantes (ci-dessous). On peut prendre, après conseil de son médecin ou de son pharmacien, des
suppléments en vitamine C, utiles surtout à l'approche de la période hivernale.
Un certain nombre de plantes sont naturellement riches en vitamine C. Les absorber en décoctions ou en tisanes permet de renforcer
ses gencives par l'intérieur de manière naturelle.
Allaria officinalis
C'est le cas de l'alliaire (allaria officinalis) qui pousse dans les endroits ombragés et en plaine. En décoction, les
feuilles d'alliaire, très riches en vitamine C, sont antiscorbutiques. À noter que des bains de bouche faits avec l'infusion de la plante entière sont réputés raffermir les gencives. Son usage
interne se double donc d'un usage externe.
Castanea vulgaris
Fruit du châtaignier (castanea vulgaris), la châtaigne possède une richesse en vitamine C proche de celle du citron,
l'acidité en moins. Elle est donc très utile pour prévenir ou traiter les états scorbutiques et les avitaminoses C.
Nasturtium officinale
Le cresson des fontaines (nasturtium officinale) pousse dans les eaux claires, vives et peu profondes. Son indication
phytothérapeutique majeure est le scorbut et les manifestations liées à la carence en vitamine C. On le prend sous la forme de vin de cresson.
Rosa canina
L'églantier (rosa canina) pousse en lisière des bois, sur les bords des chemins, dans les taillis. Ses fruits, les
cynorrhodons sont des baies rouges réputées efficaces pour traiter les gencives qui saignent, grâce à sa richesse en vitamine C (il y a autant de vitamine C dans 100 grammes de cynorrhodons que
dans un kilogramme de citrons). On le consomme en infusion préparée avec 50 grammes de cynorrhodons broyés pour un litre d'eau.
Autres plantes riches en vitamine C
Cette liste n'est pas exhaustive. D'autres plantes sont riches en vitamine C et donc bénéfiques pour la santé des gencives et du parodonte : le frêne (fraxinus excelsior), la gentiane jaune (gentiana lutea) sous forme de jus, le géranium (géranium robertianum) en décoction, la guimauve (althaea officinalis)en décoction, le melitot (melitotus arvensis), le millepertuis (hypericum maculatum), l'oseille des prés (rumex acetosa), le prunellier (prunus spinosa) dont on peut consommer les fruits, de même que ceux du sorbier des oiseleurs (sorbus acuparia), le sureau noir (sambucus nigra) dont on consomme les fruits en infusion…
Sommaire des autres articles sur la
dentisterie holistique
Ecrire un commentaire, réagir ou poser une question en rapport avec l'article
Pour d'autres questions, voir la rubrique Poser vos questions en page d'accueil
