Les scientifiques des U.S. National Institutes of Health (NIH) viennent de découvrir une cause génétique d'une forme rare d'artériosclérose, une calcification des artères situées dans la moitié inférieure du corps et dans les articulations des mains et des pieds des patients. Le « coupable » est une mutation dans le gène codant pour CD73, une protéine qui contribue normalement éviter l'accumulation de calcium. Les chercheurs espèrent que leurs nouvelles données sur cette « calcification artérielle due à une carence de CD73 », nommée (calcification due to deficiency of CD73 ou ACDC), contribueront à développer un traitement de la maladie. Une recherche publiée dans l'édition du 3 février du New England Journal of Medicine.
Seuls 9 patients sont connus pour être atteints d'ACDC, et proviennent tous de 3 familles. Les patients ont des douleurs dans les fesses, les jambes et les articulations et les médecins ne trouvaient pas les signes cliniques d'une polyarthrite rhumatoïde ou d'autres d'autres maladies connues qui auraient pu expliquer ces symptômes. Cette équipe de recherche (NIH, National Heart, Lung and Blood Institute (NHLBI) et National Human Genome Research Institute (NHGRI)) a examiné les membres de 2 familles affectées à la recherche d'un dénominateur commun.
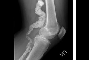
L'IRM et les rayons X ont montré que les membres des 2 familles avaient tous une accumulation de calcium dans les artères dans la moitié inférieure de leur corps, mais pas autour du cœur. Dans l'une des familles, 5 frères et sœurs -mais aucun des deux parents- étaient affectés par le trouble. Les chercheurs ont soupçonné que les symptômes pouvaient être liés à un variant génétique récessif.
Découverte d'une variante d'un gène appelé NT5E : Pour tester cette théorie, l'équipe, dirigée par le Dr William Gahl du NHGRI, a comparé l'ADN des parents et des enfants et a identifié un segment d'ADN présent une seule fois chez les parents, mais deux fois chez les enfants. L'équipe a ensuite comparé cette région d'ADN àl'ADN de 200 patients témoins non affectés. Les chercheurs ont ainsi découvert une variante d'un gène appelé NT5E qui produit la protéine appelée CD73, qui elle-même produit une petite molécule appelée adénosine qui contribue à réguler de nombreux processus dans le corps. L'équipe de chercheurs à partir de cultures de cellules des patients a examiné les effets de la mutation sur une enzyme appelée TNAP (phosphatase alcaline de tissu non spécifique). TNAP est connue pour dégrader un inhibiteur de l'accumulation de calcium et de contribuer ainsi aux dépôts de calcium. Les chercheurs ont découvert que les cellules mutantes produisaient des niveaux plus élevés de TNAP.
« La calcification vasculaire résulte souvent d'une mauvaise alimentation et du manque d'exercice », explique le directeur clinique du programme du NIH « Maladies non diagnostiquées ». « L'accumulation de calcium dans les artères de ces patients découle du fait que les inhibiteurs de l'accumulation de calcium ne fonctionnent plus dans leurs cellules. Nous espérons que la compréhension de ce mécanisme défectueux permettra le développement de traitements efficaces pour ces patients. »
Source : NIH «Rare Artery Disease Linked to Gene Variant » (Visuel NIH courtesy of NHGRI « Une radiographie du genou d'un patient avec ACDC, montrant l'accumulation de calcium dans l'artère »)

