Des chercheurs de l'Inserm en collaboration avec 3 établissements de l'AP-HP viennent de montrer que la présence d'anticorps chez un patient ayant subi une greffe de rein contre son donneur, induit un vieillissement prématuré de l'organe transplanté, entraînant ainsi le rejet de l'organe greffé. Les résultats publiés au 15 avril dans le Journal of the American Society Nephrology suggèrent l'importance de dépister ces anticorps précocement après la transplantation rénale, le phénomène de rejet lié aux anticorps étant aujourd'hui une problématique majeure.
Deux à trois millions de Français souffrent de maladies rénales chroniques, rappelle l'Inserm. Si la transplantation d'un nouvel organe issu d'un donneur vivant ou décédé s'impose aujourd'hui comme le meilleur traitement, elle nécessite une compatibilité immunologique entre le donneur et le receveur et peut être compromise par la production d'anticorps contre le greffon, provoquant le rejet de l'organe transplanté.
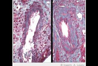
L'artériosclérose est souvent plus grave selon l'âge du donneur, même sans antécédents de rejet. Pour déterminer si des anticorps spécifiques du patient transplanté dirigé contre le donneur (Donor-Specific Antibodies ou DSA) peuvent contribuer à la sévérité de l'artériosclérose, les chercheurs ont examiné des biopsies de 40 patients à DSA et de 59 patients sans DSA. Parmi les patients DSA-positifs, c'est-à-dire à anticorps dirigés contre leur donneur, l'artériosclérose a sensiblement progressé entre 3 mois et 12 mois après la greffe, en revanche, chez les patients DSA-négatifs, les chercheurs n'ont pas détecté une progression significative durant la même période. Chez les patients ayant anticorps dirigés contre leur donneur, en un an, le vieillissement observé en présence d'anticorps correspond au vieillissement normal s'étalant sur 28 ans pour une personne en bonne santé, souligne l'Inserm. Plus tard, le taux de progression de l'artériosclérose chez les patients DSA-négatifs s'avère d'environ un tiers de celui des patients DSA-positifs.
Cette étude suggère donc que le développement accéléré de l'artériosclérose, post-transplantation, est significativement associé aux anticorps spécifiques dirigé contre leur donneur. Elle insite sur l'importance de dépister ces anticorps précocement après la transplantation rénale et de prévenir l'artériosclérose chez ces patients.
Source: Communiqué Inserm, The Journal of the American Society Nephrology,14 avril 2011 doi: 10.1681/ASN.2010070777 “Donor-Specific Antibodies Accelerate Arteriosclerosis after Kidney Transplantation” (Visuel Inserm “Progression de l'artériosclérose dans la première année de greffe, démontrant un rétrécissement significatif du calibre de l'artère et de sa lumière entre 3 mois de greffe (Gauche) et 1 an de greffe (Droite)”).

