Un comprimé quotidien de vitamine B pourrait-il prévenir des millions cas d'Alzheimer? Ces résultats présentés cette semaine au British Science Festival, en amont de la Journée mondiale, montrent que des doses certes élevées de vitamine B peuvent améliorer les symptômes de déclin cognitif chez des patients atteint de symptômes encore légers et même, chez certains patients « renverser » le cours de la maladie. Ces données sont issues de deux études menées par des chercheurs de l'Université d'Oxford et l'Université d'Oslo et dont les résultats ont été publiés successivement dans la revue PLoS One et dans l'International Journal of Geriatric Psychiatry en juillet 2011.
Les doses très élevées utilisées dans les deux études ne pourraient pas être apportées par une alimentation normale standard ou des suppléments, précisent les chercheurs : De telles doses ne peuvent être prises sans l'avis d'un médecin, car elles peuvent, entre autres effets augmenter le risque d'autres maladies, comme le cancer.
Les chercheurs soulignent que le déclin cognitif léger, précurseur de la maladie d'Alzheimer touche 14 millions de personnes en Europe. Environ la moitié des personnes atteintes développeront une démence dans les cinq années qui suivent ce diagnostic, d'où un besoin urgent de trouver les moyens de ralentir ce déclin cognitif précoce. Des niveaux insuffisants de vitamines B sont associés à des troubles cognitifs et la voie biologique probable de cette association serait liée à un taux élevé d'homocystéine sanguine, une protéine d'ailleurs plus abondante chez les personnes atteintes de maladie d'Alzheimer. Le taux sanguin d'homocystéine est aussi un facteur de risque de maladies vasculaires connu pour augmenter avec l'âge.

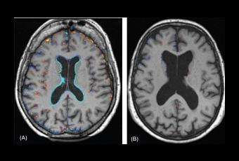
Les premiers résultats de cet essai révèlent que des doses importantes de vitamines B ralentissent de 30% le rythme de l'atrophie cérébrale en comparaison d'un placebo (Voir visuel ci-contre). Sur les 266 personnes qui ont commencé l'étude, 223 (83,8%) l'ont terminée. Les chercheurs constatent que:
· À la fin de l'étude les niveaux d'homocystéine étaient en moyenne inférieurs de 30% chez les « consommateurs » de vitamines B vs placebo,
· les personnes parmi les 50% à plus hauts niveaux d'homocystéine au début de l'étude qui ont pris des vitamines B ont réussi considérablement fait mieux les tests que ceux prenant un placebo,
· les personnes parmi les 25% à plus hauts niveaux d'homocystéine au début de l'étude qui ont pris des vitamines B ont de meilleurs scores cliniques sur le test de démence vs placebo.

Les chercheurs suggèrent que les vitamines B ralentissent le déclin cognitif chez les personnes atteintes de troubles cognitifs légers, allant parfois jusqu'à un « renversement de la déficience cognitive précoce», en particulier en agissant sur les niveaux d'homocystéine.
Sources:International Journal of Geriatric Psychiatry,July 21 2011 DOI: 10.1002/gps.2758 Cognitive and clinical outcomes of homocysteine-lowering B-vitamin treatment in mild cognitive impairment: a randomized controlled trial.PLoS One5(9): doi:10.1371/journal.pone.0012244 Homocysteine-Lowering by B Vitamins Slows the Rate of Accelerated Brain Atrophy in Mild Cognitive Impairment: A Randomized Controlled Trial. (Visuel PloS ONE A: Placebo, B: Vitamin B)

