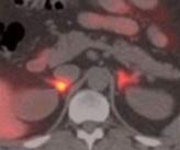
5% des cas d'hypertension artérielle durable sont dus à une petite tumeur bénigne située sur les glandes surrénales (en rouge sur visuel ci-contre) qui affecterait les niveaux d'hormones du corps. Cette maladie, nommée syndrome de Conn pourrait désormais être détectée simplement par ce test développé par des chercheurs de Cambridge. Des conclusions relayées dans l'édition du du Journal of Clinical Endocrinology & Metabolism qui si elles ne concerneront certes qu'une minorité de patients souffrant d'HTA, offre une nouvelle alternative non invasive du syndrome de Conn.
Un test d'autant plus précieux que lorsqu'elles sont repérées ces petites tumeurs des glandes surrénales situées au-dessus des reins, peuvent être enlevées et la tension artérielle revient à un niveau normal.
Cette étude de l'Université de Cambridge et de l'hôpital Addenbrooke (Cambridge), soutenue par la British Heart Foundation, a examiné deux nouvelles techniques pour diagnostiquer le syndrome de Conn et comparé l'utilisation de scans contre la technique existante, délicate qui consiste à prélever des échantillons de sang « en profondeur », dans les veines situées autour des deux glandes surrénales. Les chercheurs constatent que les scans non-invasifs sont capables d'identifier correctement 76% des patients présentant ce type de tumeur provoquant le syndrome de Conn et pourraient parfaitement écarter le problème chez 87% des patients présentant une hausse des niveaux d'hormones surrénales due à une autre cause. Attention, ce n'est pas un nouveau test applicable à l'ensemble des cas d'HTA, car le syndrome de Conn reste une affection rare, rappellent les auteurs. Et la technique de diagnostic de numérisation décrite dans l'étude peut confirmer un syndrome de Conn seulement après tests sanguins ayant détecté des niveaux élevés de l'hormone aldostérone.
Si le syndrome de Conn est la cause la plus fréquente d'une production excessive d'aldostérone, cet excès peut également être provoqué par l'élargissement des deux glandes surrénales, une maladie nommée hyperplasie bilatérale des surrénales. L'imagerie peut être utilisée ici pour détecter la présence d'adénomes des surrénales, ces petites tumeurs responsables du syndrome de Conn.
L'étude a porté sur 25 patients avec un niveau d'aldostérone excessif causé par un syndrome de Conn (pour estimer la sensibilité du diagnostic) et 15 sujets témoins avec aldostérone excessive due à d'autres causes (pour estimer la spécificité du diagnostic). La nouvelle technique appelée PET-CT scan (pour Positron Emission Tomography -Computed Tomography), nécessite une injection avec un produit chimique, le C-métomidate, qui s'accumule dans les tumeurs bénignes, mais pas dans les tissus sains. Après test, les chercheurs constatent que 19 patients atteints du syndrome de Conn sur 25 ont été correctement identifiés (sensibilité de 76%) et que 13 des 15 patients avec aldostérone excessive pour une autre cause ont présenté un test négatif (spécificité de 87%).
Les chercheurs concluent que l'utilisation d'un PET-CT scan avec injection de C-métomidate pourrait faciliter le diagnostic en présence de niveaux élevés d'aldostérone liés au syndrome de Conn.
Source:The Journal of Clinical Endocrinology & Metabolism November 23, 2011Evaluation of the Sensitivity and Specificity of 11C-Metomidate Positron Emission Tomography (PET)-CT for Lateralizing Aldosterone Secretion by Conn's Adenomas. (Visuel NHS: Petite tumeur (en rouge) sur les glandes surrénales)

