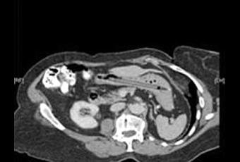
Une avalanche de posts a déferlé sur Internet sur le cas étrange de cette femme qui avait avalé un stylo et, 25 années plus tard, à la suite de perte de poids soudaine et de diarrhée se « l'était fait » retirer. La chute de cette histoire, tout à fait réelle et décrite tel un cas clinique dans le British Medical Journal, est que le stylo en plastique fonctionnait toujours à sa sortie de l'abdomen de la patiente.

Apparemment, la femme avait voulu observer ses amygdales avec son stylo…, mais l'avait accidentellement avalé. Tant son mari que le médecin avait repoussé toute intervention à l'époque, l'objet n'apparaissant pas à la radiographie. Le stylo est resté ainsi 25 ans dans l'estomac de la patiente sans causer de problèmes de santé, jusqu'au jour où les problèmes se sont déclenchés. On connaît la fin de l'histoire…
Source: BMJ Case Reports 2011 doi:10.1136/bcr.10.2011.5001An incidental finding of a gastric foreign body 25 years after ingestion.
