d'une dent (14 et 26) avec des dents adjacentes parfaitement saines.
La patiente est réfractaire au traitement implantaire, et ne souhaite pas non plus de bridge (ce qui exigerait que l'on taille les dents adjacentes)
Une prothsèe amovible conventionnelle avec faux palais serait assez inconfortable pour la patiente et elle ne le souhaite pas.
On décide de réaliser deux prothèses Valplast d'une dent de type Ackers.
Une empreinte de l'arcade est réalisée et les maquettes en cire sont confectionnées au laboratoire et essayées en bouche la séance suivante.
Une fois la teinte validée, les maquettes sont renvoyées au laboratoire.
Le Ackers Valplast est réalisée avec des crochets rose inclus dans la fausse gencive. Il s'agit d'une prothèse amovible.
Le principal avantage de ce matériaux réside à la fois dans sa flexibilité et sa translucidité
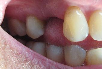
Notez le jour de la pose, la discrétion d'une telle reconstitution
L'intégration esthétique dans la ligne du sourire est optimum
Un cas clinique du Dr Olivier Landwerlin - Cannes
...
>> Lire l'article complet...
