Peu connue, mal prise en charge, l'endométriose qui touche pourtant une femme sur 10 en âge de procréer, a sa Semaine européenne de lutte, de prévention et d'information du 7 au 13 mars. Cette 7è édition doit, à nouveau, faire mieux connaître la maladie et permettre d'améliorer son diagnostic précoce et sa prise en charge.
L'endométriose est une affection gynécologique chronique définie par la présence de tissus de nature endométriale se développant hors de l'utérus. Ce curieux phénomène induit une réaction inflammatoire chronique, avec des symptômes comme les douleurs abdominales, pelviennes, les règles douloureuses (dysménorrhée), les relations sexuelles également douloureuses (dyspareunie) et l'infertilité. Cette affection est prévalente chez les femmes en âge de procréer et disparaît à la ménopause.
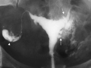
Dans l'endométriose, du tissu semblable au tissu endométrial se développe, hors de l'utérus, entrainant lésions et kystes ou endométriomes. Le diagnostic, par échographie, radio ou IRM le plus souvent, est généralement trop tardif. Une femme sur dix à une femme sur vingt aura ainsi des dommages aux ovaires, à la vessie ou au rectum : La maladie touche en effet entre 10 et 15% des femmes fécondes et 20 à 50% des femmes infertiles.Le traitement de l'endométriose peut être médical ou chirurgical.

Sources : Communiqué Groupe hospitalier Paris St Joseph et Association EndoFrance (Visuels)

