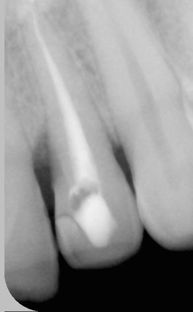
Un patient de 46 ans se présente au cabinet dentaire connaître les
possibilités de restauration esthétique de sa 22 sachant que celle ci,
dévitalisée, a subi une décoloration grisâtre et présente une pallato-version et
donc un défaut d'alignement sur l'arcade gênant le patient lorsqu'il sourit.

La dent est assymptomatique avec absence de lésion apicale. Le traitement
canalaire ne présente au sondage aucun soucis particulier au niveau de son
étanchéité

Une vue occlusale permet de mieux nous rendre compte de la malposition de la
22

Face à la demande d'esthétique de patient, nous lui proposons une
reconstitution tout céramique avec armature zircone permettant de masquer la
coloration sous jacente inhérente aux dents dévitalisée tout en permettant une
stratification au rendu final très biomimétique. La zircone de par sa grande
biocompatibilité n'engendre pas de rétraction gingivale ou de coloration à long
terme.
L'empreinte sera réalisé grâce à la caméra de numérisation 3D TRIOS 3 Shape.
La particularité majeure et innovante de ce système est que l'empreinte optique
se fait sans poudrage (ce qui n'est pas le cas dans les principaux concurrents
actuellement sur le marché (Cerec (r) de Sirona , Lava Cos de 3M) excepté l'I
Tero (r) de Cadent (r).
L'armature sera réalisée en CFAO. Parallèlement, un modèle physique sectoriel
sera réalisé par stéréolithographie dans le but de la stratification Céramique
en E-max
L'ancrage radiculaire choisi est un tenon blanc en fibre de verre Apol(r)
inséré dans le canal après préparation à l'aide du foret correspondant.

Le tenon est collé et un CVI Mar Riva (r) finalise la reconstitution corono-radiculaire
directe.

La teinte est prise à l'aide du teintier Vita 3D Master sur la dent
symétriquement opposée (12)

Nous saisissons dans le logiciel directement à partir de l'écran tactile
-le numéro de la dent concernée
-le type de restauration (Couronne)
-Le matériau de la chappe
-Le type de teintier utilisé
-La teinte

Après un préchauffage de la caméra (ce qui évite les problèmes de buée lors
de la saisie numérique puisque la vitre de la caméra reste constamment à 37°)
nous lançons la mise en route du scannage de l'arcade supérieure.
La validation du menu nous indique que l'empreinte optique est prête à être
réalisée

La caméra est positionné au niveau de la préparation et une série de signal
sonore nous indique la saisie volumique 3D automatisée en continue.
Nous pouvons suivre à l'écran en temps réel le positionnement correct de la
tête de la caméra au niveau de la zone à scanner.

L'arcade maxillaire est numérisée en 3D de la 14 à la 24

L'arcade antagoniste est également saisie. Une empreinte vestibulaire des
arcades en occlusion nous permet d'enregistrer la position occlusale de
référence et de reproduire cette occlusion à l'écran. Une fonction intéressante
du logiciel 3 Shape permet de mesurer la distance disponible pour la
reconstruction prothétique entre la préparation et la dent antagoniste.
Des retouches sont possibles par simple gommage de la zone à l'écran et
rescanage de la préparation.
La limite de la préparation peut être saisie au cabinet sur...
>> Lire l'article complet...
