
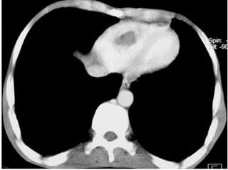
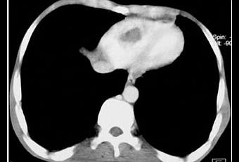
Angioscanner thoracique montrant une thrombose intra ventriculaire droite. In Revue des Maladies Respiratoires Volume 25, Issue 1, january 2008, Pages 69 - 72
Source iconographique et légendaire: http://www.sciencedirect.com/science/article/pii/S0761842508704698
La Protéine Disulfide Isomérase (PDI) est une oxydoréductase exprimée de manière ubiquitaire, nécessaire à un pliage adéquat des protéines. La PDI se retrouve en fortes concentrations dans le réticulum endoplasmique, mais peut aussi être relâchée dans l’environnement extracellulaire. Plusieurs modèles in vivo de thrombose ont démontré que la PDI vasculaire secrétée par les plaquettes et les cellules endothéliales est essentielle à la formation « normale » d’un thrombus. L’inhibition de la PDI extracellulaire représente donc une stratégie potentielle de thérapie antithrombotique. Cette approche requière toutefois la découverte d’inhibiteurs de la PDI qui soient bien tolérés. Une approche récente de séquençage à haut débit a permis de découvrir que la flavonoïde quercetin-3-rutinoside – communément présente dans l’alimentation – possède des propriétés inhibitrices de la PDI. La quercetin-3-rutinoside bloque la formation de thrombus à des concentrations communément absorbées comme complément nutritionnel. L’observation même qu’un composé, unanimenent reconnu comme étant sans danger, agit comme inhibiteur de la PDI et bloque la thrombose dans les modèles animaux; constitue un argument pour la mise en place d’essais cliniques d’évaluation des inhibiteurs de la PDI comme classe nouvelle d’antithrombotiques. Robert Flaumenhaft, in Trends in Cardiovascular Medicine, online 27 March 2013, in press
Source: Science Direct / Traduction et adaptation: NZ
