
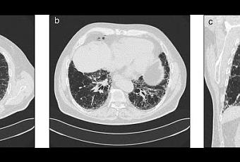
Tomodensitométrie thoracique en coupes parenchymateuses millimétriques (a, au niveau de l'artère pulmonaire; b, au niveau des bases; c, reconstruction frontale): aspect de fibrose pulmonaire idiopathique avec opacités réticulaires, bronchectasies par traction, et distorsion architecturale. In La Presse Médicale Volume 37, Issue 11, November 2008, Pages 1581 - 1590
Source iconographique et légendaire: http://www.sciencedirect.com/science/article/pii/S075549820800225X
La fibrose idiopathique pulmonaire (IPF) est une maladie dévastatrice, impliquant probablement plusieurs loci génétiques. Quelques rares variantes génétiques et un polymorphisme commun d’un nucléotide simple (SNP) de MUC5B ont été associés avec la maladie. Notre but était d’identifier les variantes génétiques communes associées à une susceptibilité et une mortalité propres à l’IPF.
Premièrement, nous avons effectué une étude d’association pangénomique en trois étapes (GWAS) : l’étape une était l’étude de découverte GWAS ; les étapes deux et trois étaient des études de comparaisons avec témoins appariés. Des échantillons d’ADN de patients européens et américains, atteints d’IPF et satisfaisant aux critères standard d’inclusion ont été recueillis à partir de prélèvements effectués dans plusieurs centres situés aux USA, pour chaque étape. Les données des sujets témoins européens et américains pour l’étape une ont été recueillies à partir d’une base de données génotypiques et phénotypiques ; le sujets témoins additionnels ont été recrutés à l’Université de Pittsburgh, afin d’augmenter les effectifs. Pour ce qui est des sujets témoins des phases deux et trois, nous avons récolté les données de sujets témoins européens et américains additionnels de même sexe, qui avaient été recrutés pour une autre étude. Les échantillons d’ADN provenant de patients et de sujets témoins ont subi un génotypage afin d’identifier les SNPs associés à l’IPF. Les SNPs identifiés au cours de l’étape une ont été transférés vers l’étape deux ; et les SNPs atteignant la significativité sur le plan pangénomique (p<5x10-8) lors de la méta-analyse, transférés vers l’étape trois. Trois séries de cas, pourvues de données de suivi, ont été sélectionnées lors des étapes un et deux de la GWAS, à l’aide d’échantillons accompagnés de données de suivi. Les analyses de mortalités ont été effectuées dans ces séries de cas afin d’étudier les SNPs associés à l’IPF et qui avaient atteint la significativité lors des méta-analyses des étapes un et deux. Finalement, nous avons obtenu de la part du Lung Genomics Research Consortium des profils de données d’expression génique provenant de poumons de patients atteints d’IPF, et en avons tiré des analyses de corrélation avec les génotypes SNP.
Dans l’étape une de GWAS (542 patients atteints d’IPF, 542 sujets témoins appariés aux cas par estimation d’ascendance génétique), nous avons identifié 20 loci. Six SNPs ont atteint la significativité sur le plan pangénomique à l’étape deux (544 patients, 687 sujets témoins) : trois SNPs TOLLIP (rs111521887, rs5743894, rs5743890) et un SNP MUC5B (rs35705950) à 11p15.5 ; un SNP MDGA2 (rs7144383) à 14q21.3 ; et un SNP SPPL2C (rs17690703) à 17q21.31. L’étape trois (324 patients, 702 sujets témoins) a confirmé les associations pour tous ces SNPs, sauf pour rs7144383. Le déséquilibre de liaison entre le SNP MUC5B(rs35705950) et les SNPs TOLLIP(rs111521887 [r2=0 ,07], rs5743894 [r2=0,16], et rs5743890 [r2=0,01] était faible. 683 patients de GWAS ont été inclus dans l’analyse de mortalité. Les sujets qui ont développé une IPF, malgré l’effet protecteur de l’allèle mineur TOLLIP de rs5743890, étaient porteurs d’un risque de mortalité augmenté (méta-analyse sur modèle à effet fixe : hazard ratio 1,72 [Intervalle de Confiance – IC – 95% 1,24-2,38] ; p=0,0012). L’expression de TOLLIP était diminuée de 20% chez les sujets porteurs de l’allèle mineur de rs5743890 (p=0,097), de 40% chez ceux porteurs de l’allèle mineur de rs111521887 (p=3,0x10-4), et de 50% chez ceux porteurs de l’allèle mineur de rs5743894 (p=2,93x10-5), en comparaison des porteurs homozygotes des allèles communs pour ces SNPs.
Les variantes nouvelles dans TOLLIPet SPPL2C sont associées à une susceptibilité à l’IPF. Une nouvelle variante de TOLLIP, rs5743890, est également associée à la mortalité. Ces associations, ainsi qu’une expression diminuée de TOLLIP chez les patients porteurs de SNPs TOLLIP, amplifient l’importance à accorder à ce gène. Prof Imre Noth MD et al, in The Lancet Respiratory Medicine, Early Online Publication, 17 April 2013
Financement: National Institute of Health (NIH); National Heart, Lung, and Blood Institute; Pulmonary Fibrosis Foundation; Coalition for Pulmonary Fibrosis; and Instituto de Salud Carlos III.
Source: The Lancet Online / Traduction et adaptation: NZ
