
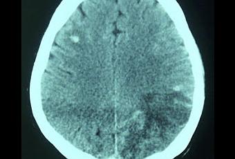
Tomodensitométrie en coupe horizontale avec injection de produit de contraste, montrant un double foyer d'accident vasculaire cérébral (AVC) ischémique pariéto-occipital gauche et frontal droit avec ramollissement hémorragique. In Annales Françaises d'Anesthésie et de Réanimation Volume 31, Issue 1, January 2012, Pages 82-85
Source iconographique et légendaire: http://www.sciencedirect.com/science/article/pii/S0750765811004096
Des troubles du mouvement peuvent survenir comme manifestation primaire (idiopathique) d’une maladie génétique, de troubles neurodégénératifs, ou secondaire a un large éventail de maladies neurologiques ou systémiques. Les maladies cérébrovasculaires représentent jusqu’à 22% des troubles secondaires du mouvement ; les mouvements involontaires se développant après 1% à 4% des accidents vasculaires cérébraux (AVC). Les troubles consécutifs aux AVC peuvent se manifester sous forme de parkinsonisme, ou sous forme d’une grande variété de troubles hyperkinétiques du mouvement incluant chorée, ballisme, athétose, dystonie, tremblements, myoclonies, stéréotypies, akathisie. Quelques uns de ces troubles surviennent chez des patients atteints d’AVC ischémique, ou d’AVC hémorragique, d’hémorragie subarachnoïde, de malformations cérébrovasculaires, fistules durales artério-veineuses affectant les noyaux gris centraux et/ou leurs connections. Raja Mehanna MD, Prof Joseph Jankovic MD in The Lancet Neurology, Early Online Publication, 19 April 2013
Source: Science Direct / Traduction et adaptation: NZ
