Défauts du tube neural: avancées récentes, questions non résolues, et controverses
Publié le 19 juin 2013 par Tartempion77
@NZarjevski

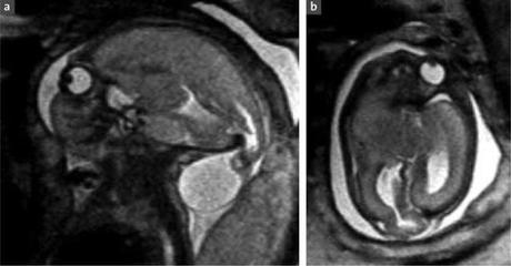
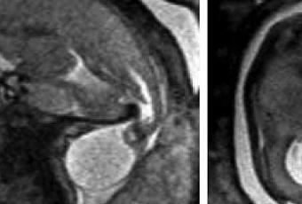
Défaut de morphogénèse médullaire. In Imagerie de la Femme Volume 18, Issue 3, September 2008, Pages 157 - 164
Source: http://www.sciencedirect.com/science/article/pii/S177698170877192X
Les défauts du tube neural sont des malformations congénitales graves affectant environ un nouveau – né sur mille naissances. Une innovation en matière de gestion clinique vient de la découverte que la fermeture in utero des spina bifida peut diminuer les dysfonctions neurologiques chez les enfants. La prévention primaire à l’aide de l’acide folique a été amplifiée par l’introduction de l’enrichissement obligatoire des aliments dans certains pays ; cette disposition n’est toutefois pas encore appliquée au Royaume – Uni. La prédisposition génétique contribue au plus grand nombre des défauts du tube neural rencontrés ; les gènes de régulation du métabolisme du folate et du carbone, ainsi que ceux de la polarité des cellules planaires sont impliqués. La séquence de fermeture du tube neural chez l’homme reste controversée, mais des études sur modèles de souris porteuses de défauts du tube neural montrent que l’anencéphalie, la spina bifida ouverte, le craniorachischisis résultent d’un défaut de neurulation primaire ; alors que la myélodysraphie recouverte de peau résulte d’un défaut de neurulation secondaire. D’autres malformations, comme l’encéphalocèle, sont vraisemblablement des anomalies apparaissant une fois la neurulation achevée. Prof Andrew J Copp DPhil, Philip Stanier PhD, Nicholas De Greene PhD, in The Lancet Neurology, Early Online Publication, 19 June 2013Source: The Lancet Online / Traduction et adaptation: NZ