Mélanome cutané
Publié le 19 septembre 2013 par Tartempion77
@NZarjevski

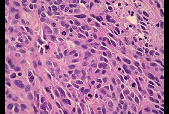
Métastase cutanée de mélanome: prolifération de cellules éosinophiles, fusiformes, à noyaux atypiques et activité mitotique élevée, évocatrices d'un mélanome malin (HPS x 400). In Annales de Pathologie Volume 30, Issue 2, April 2010, Pages 143 - 146
Source iconographique et légendaire: http://www.sciencedirect.com/science/article/pii/S0242649809002892
Au cours de la dernière décennie, les progrès majeurs ont été réalisés dans la compréhension du mélanome. De nouveaux gènes prédisposant à la maladie ont été identifiés, ainsi que leurs manifestations somatiques clés ; comme la mutation BRAF, qui a directement mené à une application thérapeutique. Les chirurgies du mélanome localisé et des métastases décelées au niveau régional dans les ganglions lymphatiques demeurent les gestes thérapeutiques standards prescrits et réalisés. La biopsie du ganglion sentinelle fournit une indication du stade de la pathologie, sans toutefois montrer de corrélation avec la survie. L’effet de l’ablation du ganglion sentinelle représente de fait un sujet de recherche à l’heure actuelle. Deux approches distinctes ont émergé dans une perspective d’allongement de la survie des patients atteints de mélanome métastatique : 1. l’immunomodulation à l’aide des anticorps monoclonaux anti-CTLA4 ; 2. la thérapie ciblée à l’aide des inhibiteurs des gènes BRAF et MEK dans le cas du mélanome à gène BRAF muté. La combinaison des inhibiteurs BRAF et MEK pourraient prolonger la survie sans progression, et, - cela restant dans l’ordre du possible – améliorer la survie globale. Les types de réponses obtenues diffèrent considérablement - l’immunothérapie anti-CTLA4 peut induire des réponses à long terme, mais seulement chez certains patients, alors que les médicaments ciblés induisent des réponses chez la plupart des patients -; mais presque tous récidivent du fait d’une résistance préexistante ou acquise aux médicaments. Ainsi, le pronostic à long terme du mélanome métastatique reste mauvais. Les anticorps anti-PD1 et anti-PDL1 apparaissent comme des médicaments à la fois nouveaux et inédits contre le mélanome, montrant des niveaux de réponses élevés et de longue durée. La valeur prédictive des marqueurs biologiques reste aléatoire, même si de récents résultats relatifs aux thérapies adjuvantes indiquent que la sensibilité à l’interféron est associée à de l’ulcération dans le cas du mélanome primaire. Des recherches sont actuellement menées dans la quête de marqueurs cliniques et biologiques permettant de prédire le bénéfice clinique apporté par les médicaments d’immunothérapie, comme l’interféron alpha ou les anticorps anti-CTLA4 ; et dans le domaine des mécanismes menant à la résistance des médicaments ciblés. Prof Alexander MM Eggermont MD, Alan Spatz MD, Caroline Robert MD ; dans “The Lancet”, publication en ligne en avant-première, 19 Septembre 2013Source : The Lancet Online / Traduction et adaptation : NZ