Eteindre, avec quelques injections de nanoparticules, les gènes impliqués dans la croissance de certains cancers du sein, c’est ce qu’évoquent ces scientifiques de Harvard, encore au stade des recherches sur l’animal. Une technique adaptée au carcinome canalaire in situ (CCIS), une forme de cancer du sein qui débute dans les conduits du sein mais peut parfois devenir envahissante. Ces travaux, publiés dans la revue Science Translation Medicine, ouvrent une nouvelle approche thérapeutique qui consisterait à bloquer à l’aide de ces « nanoARN » les gènes impliqués dans le développement du cancer du sein. Un nouveau type de thérapie génique.
Le pronostic du CCIS, un défi : Alors qu’il est quasiment impossible de prédire si un CCIS va se propager dans d’autres parties du sein, qu’on estime que près de la moitié des femmes atteintes de CCIS développeront un cancer du sein invasif, l’autre moitié des patientes atteintes subit

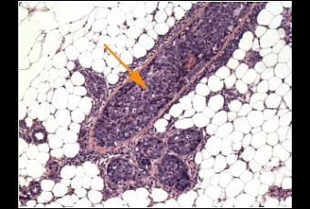
Une injection de nanoparticules à fragments génétiques: Ici, les chercheurs de Harvard ont développé des souris génétiquement modifiées pour développer des tumeurs de type CCIS à 16 semaines, puis pour évoluer vers des tumeurs invasives à 20 semaines. En étudiant les changements génétiques dans les glandes mammaires des souris génétiquement modifiées, les scientifiques ont identifié un gène, Hox1A, impliqué dans la stimulation de la croissance des tumeurs chez les souris. A l’aide de micro ARNs (ou siRNA : small interfering RNAs), les chercheurs ont ensuite donné aux souris une injection de nanoparticules enveloppant ces siRNA pour bloquer l’expression du gène Hox1A. Ils constatent que l’injection a stoppé le développement des tumeurs chez les 3 quarts des souris, mais sans pouvoir confirmer l’absence définitive de récidive.
L’étude en est encore à un stade précoce mais ses résultats sont prometteurs, d’une part parce que le gène HoxA1 semble être l’un des premiers gènes impliqués dans le développement des cellules mammaires anormales dans ces souris transgéniques mais également actif dans des échantillons de tissu de cancer du sein humain, ensuite, pour l’approche elle-même qui pourrait être utilisée en ciblant les gènes impliqués dans d’autres types de tumeurs.
Source:Science Translation Medicine January 1 2014 DOI: 10.1126/scitranslmed.3007048Silencing HoxA1 by Intraductal Injection of siRNA Lipidoid Nanoparticles Prevents Mammary Tumor Progression in Mice (Visuel@MayoClinic@Amy Brock)

