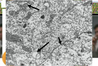
Alors que l’usage chronique d’héroïne entraîne des dégâts sur le système nerveux, cette équipe chinoise, montre, sur un modèle animal, comment certains points d’acupuncture peuvent permettre de « réparer » certaines des zones touchées du cerveau. Cette étude, présentée dans la revue Neural Regeneration montre également les effets bénéfiques de l’acupuncture sur les niveaux de facteur neurotrophique BDNF, une protéine essentielle à la survie (et à la régénération) des neurones.

Des points d’acupuncture pour régénérer les zones touchées du cerveau : Les chercheurs ont développé un modèle souris dépendante à l’héroïne par injections intramusculaires de quantités d’héroïne de plus en plus importantes. Puis est venu le moment du sevrage et les rats ont reçu un traitement par acupuncture sur 2 points précis (Baihui – DU20 et Dazhui- DU14). Les chercheurs constatent que l’acupuncture normalise peu à peu la structure de l’aire tegmentale ventrale et augmente l’expression du facteur neurotrophique dérivé du cerveau (Brain-Derived Neurotrophic Factor) ou BDNF, une protéine impliquée dans la survie des neurones et dans la plasticité synaptique.
La médecine traditionnelle chinoise connaît déjà Baihui comme un point étroitement associé avec le cerveau, qui peut permettre de réguler les fonctions cérébrales, réanimer en cas de perte de conscience, « calmer » les nerfs et soulager l’épilepsie. Dazhui est également connu comme un point essentiel pour améliorer différents symptômes nerveux. Si ces derniers effets étaient déjà connus des chercheurs, avec leur étude sur l’animal, ils élargissent l’efficacité de ces points d’acupuncture à la prévention de la mort neuronale et à l’amélioration de la plasticité cérébrale lors d’une désintoxication à l’héroïne.
Source: Neural RegenerationMarch, 2014 doi:10.4103/1673-5374.128228Research Normalization of ventral tegmental area structure following acupuncture in a rat model of heroin relapse

Lire aussi :MÉMOIRE et vieillissement: La protéine qui pourrait rajeunir nos neurones –
