
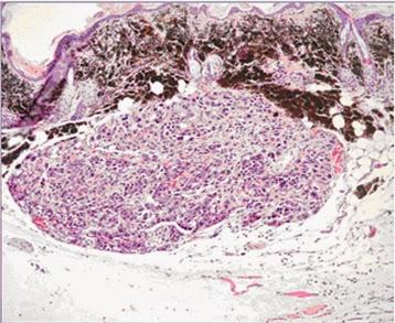
Sur cette coupe histologique d'un mélanome, les cellules tumorales commencent à envahir le derme
Source iconographique et légendaire: http://www2.cnrs.fr/presse/communique/1223.htm
Dans cet essai randomisé de phase 3, contrôlé en ouvert, nous avons recruté des patients dans 90 sites situés dans 14 pays. Les patients éligibles étaient âgés de 18 ans ou plus, atteints d’un mélanome non résécable ou métastatique, et ayant vu leur pathologie progresser après administration d’ipilimumab, ou ipilimumab et un inhibiteur de BRAF s’ils étaient positifs pour la mutation BRAFV 600. Les investigateurs participants ont réparti les patients 2:1 de manière aléatoire (à l’aide d’un système de voix interactif) pour recevoir une perfusion de nivolumab 3mg/kg toutes les deux semaines ou ICC (dacarbazine 1000 mg/m2 toutes les 3 semaines ou paclitaxel 175 mg/m2 combiné avec carboplatine - avec aire sous la courbe 6 toutes les 3 semaines -) jusqu’à progression de la maladie ou effets toxiques non tolérables. Nous avons stratifié la randomisation selon le statut de mutation BRAF, l’expression tumorale de PD-L1, et la meilleure réponse globale à ipilimumab. Nous avons fait usage des blocs permutés (blocs de six) dans chaque strate. Les critères primaires étaient la proportion de patients ayant montré une réponse objective et la survie globale. Les traitements étaient administrés en ouvert, toutefois, le personnel chargé de l’évaluation des tumeurs n’avait pas accès à l’attribution des traitements. Nous avons évalué les réponses objectives per-protocole, après que 120 patients aient reçu le nivolumab et comptabilisaient un suivi minimum de 24 semaines, ainsi que l’innocuité chez tous les patients qui avaient reçu au moins une dose de traitement. L’essai est maintenant fermé, et ceci est la première analyse intermédiaire faisant état d’une réponse objective sur un critère primaire d’évaluation.
Entre le 21 décembre 2012 et le 10 janvier 2014, nous avons dépisté 631 patients, et en avons réparti de manière aléatoire 272 pour recevoir le nivolumab et 133 pour recevoir ICC. Des réponses objectives ont été confirmées chez 38 (31.7%, Intervalle de Confiance [IC] 95% 23.5-40.8) des premiers 120 patients du groupe nivolumab versuscinq (10.6%, 3.5-23.1) des 74 patients du groupe ICC.Les événements indésirables de grade 3-4 reliés au nivolumab incluaient lipase augmentée (trois [1%] patients sur 268), alanine aminotransférase augmentée, anémie, et fatigue (deux [1%] patients pour chaque événement) ; et pour le traitement ICC, ils incluaient neutropénie (14 [14%] sur 102), thrombocytopénie (six [6%]), et anémie (cinq [5%]). Nous avons noté des événements indésirables graves de grade 3-4 reliés au produit chez 12 (5%) patients recevant le nivolumab et chez neuf (9%) patients du groupe ICC. Aucun décès lié au traitement n’est survenu.
Le nivolumab a conduit à une proportion plus importante de patients atteignant une réponse objective, et moins d’effets toxiques que les régimes de chimiothérapie alternative disponibles chez des patients atteints de mélanome avancé ayant progressé après traitement avec ipilimumab ou ipilimumab et un inhibiteur de BRAF. Le nivolumab représente donc une option nouvelle de traitement, montrant des réponses objectives durables significatives sur le plan clinique dans une population aux très importants besoins insatisfaits. Dr jeffrey S Weber, MD et al, dans The Lancet Oncology, publication en ligne en avant - première, 17 mars 2015
Financement : Bristol-Myers Squibb
Source : The Lancet Online / Traduction et adaptation : NZ
