
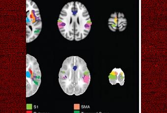
Si la douleur de l’Enfant peut aujourd’hui être évaluée par les professionnels à l’aide d’échelles d’évaluation basées sur ses manifestations cliniques, cette étude de l’Université d’Oxford, menée via IRM, permet aux professionnels comme aux parents de mieux comprendre comment les bébés ressentent la douleur. Les conclusions, présentées dans la revue eLife, confirment qu’il est possible de détecter la signature neurologique de la douleur de l’enfant, comme celle de l’adulte, en utilisant l’IRM (Visuel de droite). Cependant, si approximativement les mêmes zones » s’allument » dans le cerveau de l’enfant vs le cerveau adulte, le seuil de la douleur est beaucoup plus faible chez l’enfant (Visuel de gauche). Des implications évidentes alors que des milliers d’enfants subissent des interventions douloureuses chaque jour.
Cette étude est aussi la première à utiliser l’IRM pour étudier la douleur chez l’enfant. « Jusqu’à présent, on n’imaginait pas possible d’étudier la douleur chez les bébés en utilisant l’IRM car contrairement aux adultes, les bébés s’agitent dans le scanner « , explique l’auteur principal, le Dr Slater Rebeccah du département de pédiatrie de l’Université d’Oxford. » Cependant, ici, nous avons mené cette étude avec des bébés âgés de moins d’une semaine, plus calmes que les bébés plus âgés, et leurs parents ont pu les amener à s’endormir dans le scanner « .
L’étude a porté sur 10 nourrissons en bonne santé âgés de 1 à 6 jours vs 10 adultes en bonne santé âgés de 23 à 36 ans. Les enfants, recrutés dans un hôpital d’Oxford, ont été accompagnés par leurs parents et le personnel clinique durant l’ensemble de l’étude. Ils ont été soumis à un scanner d’imagerie par résonance magnétique (IRM) » dans lequel » ils se sont majoritairement endormis. Durant l’examen, les chercheurs leur piquaient un peu les pieds, créant une sensation équivalente à celle ressentie lorsqu’on se fait piquer avec un crayon, mais très modeste, afin de ne pas les réveiller. Les analyses des cerveaux des bébés ont été comparées avec les scans du cerveau des adultes exposés au même stimulus.
· 18 des 20 régions cérébrales réactives à la douleur chez l’adulte réagissent également chez le petit enfant,
· le cerveau des bébés répond avec globalement la même intensité que celui de l’adulte exposé à un stimulus 4 fois plus intense, ce qui signifie une bien plus grande sensibilité à la douleur chez l’enfant.

Respecter la douleur de l’Enfant :
-Si cela peut paraître absurde, les auteurs soulignent que certains font encore valoir que les cerveaux de bébés ne sont pas assez développés pour ressentir vraiment la douleur, que leur réponse à la douleur n’est que réflexes : Le premier résultat de cette étude est d’apporter la preuve que ce n’est pas le cas.
-Ensuite, alors que le petit enfant ne peut décrire son expérience de la douleur, qu’il peut être difficile de déduire d’observations cliniques et visuelles un niveau de douleur, l’identification de cette signature neurologique vaut n quelque sorte juge de paix.
-Cette similitude neurologique entre enfants et adultes contribue à rappeler aux adultes qui s’occupent de l’enfant, que sa douleur ressemble beaucoup à la douleur de l’adulte.
-Enfin, sur la prise en charge nécessaire de la douleur de l’enfant, même si des progrès ont été accomplis depuis les années 80 (1), les auteurs rappellent cette étude de 2014 (2), sur les pratiques de gestion de la douleur néonatale en soins intensifs soulignant que, bien que ces enfants subissent en moyenne 11 procédures douloureuses par jour, 60% d’entre eux ne reçoivent aucun médicament contre la douleur.
Dans l’avenir, les auteurs espèrent pouvoir développer un processus simple pour détecter la signature de la douleur dans le cerveau des bébés, afin de pouvoir tester différents traitements de prise en charge et préciser les options les plus efficaces chez le petit enfant.
Source: eLife April 21, 2015 DOI: 10.7554/eLife.06356 fMRI reveals neural activity overlap between adult and infant pain
(1) The New England Journal of Medicine317, 1321-1329, 1987 Pain and its effects in the human neonate and fetus
(2) International Evidence-Based Group for Neonatal Pain Consensus statement for the prevention and management of pain in the newborn

