
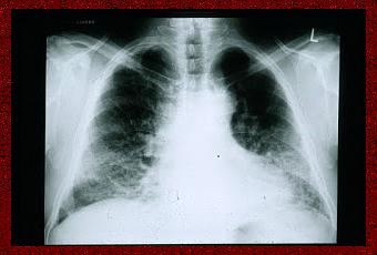
Radiographie du poumon d'un patient atteint de fibrose pulmonaire idiopathique. On observe la petite taille des poumons et l'opacification réticulo-nodulaire périphérique.
Source iconographique et légendaire:https://fr.wikipedia.org/wiki/Fibrose_pulmonaire_idiopathique
Des patients atteints de FPI, issus de groupes placebo de trois essais pirfenidone (CAPACITY 004, CAPACITY 006, et ASCEND) ont été inclus dans cette analyse post-hoc. Nous avons analysé les effets de l’utilisation d’un traitement antiacide à partir de la ligne de base, pour ce qui est des fonctions pulmonaires, de la tolérance à l’exercice, la survie, l’admission à l’hôpital, et les évènements indésirables pendant 52 semaines avec ou sans ajustement tenant compte des facteurs potentiels de confusion. Le critère principal évalué, à savoir la progression de la maladie sur 1 an, était définie par une diminution de la capacité vitale forcée (CVF) de 10% ou plus, une diminution de la distance parcourue à l’occasion d’un test de marche de 6 minutes (DPTM6) de 50 m ou plus, ou le décès. Nous avons effectué les analyses de survie à l’aide de l’estimateur de Kaplan-Meier et les avons évaluées à l’aide du test logarithmique par rangs.
Sur 624 patients, 291 (47%) ont reçu un traitement antiacide et 333 (53%) n’en ont pas reçu. À 52 semaines, nous n’avons noté aucune différence significative entre les groupes pour ce qui est de la progression de la maladie (114 [39%] pour « thérapie antiacide » versus141 [42%] pour « pas de thérapie antiacide », p=0. 4844). De la même façon, les taux n’ont pas différé entre les groupes pour ce qui est de la mortalité toutes causes confondues (20 [7%] versus 22 [7%], p=0.8947), de la mortalité liée à la FPI (11 [4%] versus 17 [5%] ; p=0.4251), la diminution de 10% ou plus en valeur absolue de la CVF (49 [17%] versus 64 [19%] ; p=0.4411), ou le changement moyen observé en CVF (%age prédit -4.9% [Déviation Standard -SD- 6.4] versus -5.5% [7.2], p=0.3355 ; volume observé -0.2 l [0.3], p=0.4238). Le taux d’admission à l’hôpital était plus élevé -de manière non significative, toutefois- dans le groupe traitement antiacide (65 [22%] versus54 [16%] ; p=0.0522). Lorsque stratifiées par rapport à la ligne de base, ni la CVF (<70% ou ≥70%), ni la progression de la maladie, ni la mortalité, ni la CVF, ni la DPTM6, ni les admissions à l’hôpital n’ont différé entre les groupes. Les évènements indésirables étaient similaires entre le groupe « traitement » et le groupe « pas de traitement » ; cependant, le taux global d’infections (107 [74%] versus 101 [62%] ; p=0.0174) et les infections pulmonaires (20 [14%] versus 10 [6%] ; p=0.0214) étaient plus élevées chez les patients atteints de FPI avancée (c’est-à-dire avec CVF <70%) qui recevaient un traitement antiacide que les patients ne recevant pas de traitement antiacide.
Le traitement antiacide n’a pas amélioré les résultats chez les patients atteints de FPI et pourrait être potentiellement associé à un risque d’infections accru chez ceux atteints d’une maladie avancée. Prof Michael Kreuter, MD, et al, dans The Lancet, publication en ligne en avant-première, 31 March 2016
Financement : F Hoffmann-La Roche
Source : The Lancet Online / Traduction et adaptation : NZ
