
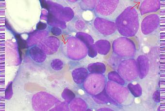
Leucémie aiguë myéloblastique, les flèches indiquent les bâtonnets d'Auer
Source iconographique et légendaire: https://fr.wikipedia.org/wiki/Leuc%C3%A9mie_aigu%C3%AB_my%C3%A9loblastique
Dans cette analyse rétrospective, nous avons examiné les raisons principales des admissions à l’hôpital chez les patients plus âgés diagnostiqués de et traités pour une leucémie myéloïde dans deux hôpitaux de soins tertiaires aux USA. Nous avons inclus des patients recevant une chimiothérapie d’induction intensive ou non-intensive. Nous avons exclu les patients atteints de leucémie promyélocytaire, les patients vus à l’occasion d’une seule et unique consultation et qui étaient sous traitement prescrit ailleurs, et les patients ne recevant que des soins de soutien. Nous avons identifié une cohorte éligible à l’aide des bases de données des systèmes d’information de l’Institut du Cancer Dana Farber et de l’Unité de Recherche Clinique sur la Leucémie de l’Hôpital Général du Massachusetts. Les Praticiens Oncologues ont fait usage d’un procédé d’examen des dossiers médicaux fondé sur un consensus pour identifier la raison principale de chaque admission à l’hôpital et catégorisée comme potentiellement évitable ou non évitable, sur la base des critères de Graham d’évitabilité potentielle des admissions à l’hôpital. Nous avons évalué les prédicteurs des admissions à l’hôpital potentiellement évitables.
Entre le 1er mai 2005 et le 23 décembre 2011, nous avons étudié 1 040 admissions à l’hôpital (excluant les admissions pour diagnostic initial) chez 329 patients admis à la suite. Les raisons principales d’admission à l’hôpital les plus fréquentes étaient : fièvre ou infection (396 [38%]), admission pour administration de chimiothérapie ou transplantation (391 [38%]), et symptômes non contrôlés (102 [10%]). Nous avons identifié 172 (27%) admissions non planifiées sur 649 comme potentiellement évitables ; dont 82 (48%) étaient des réadmissions du fait de sorties d’hôpital prématurées, 32 (19%) du fait de problèmes qui auraient pu être gérés en ambulatoire. Dans le modèle mixte de régression logistique, être formation universitaire (odds ratio 1.43 [Intervalle de Confiance -IC- 95% 1.01-2.00] ; p=0.04) et recevoir une chimiothérapie d’induction non-intensive (1.91 [1.25-3.10] ; p=0.003) étaient prédicteurs d’hospitalisation potentiellement évitable chez les patients concernés.
Bien que de nombreuses admissions à l’hôpital de patients plus âgés atteints de leucémie myéloïde aigue ne soient pas évitables, et mues en général par la durée de la maladie, une proportion importante d’entre elles pourraient être évitées. De futures interventions visant à réduire les hospitalisations potentiellement évitables sont clairement à recommander. Dr Areej El-Javahri, MD, et al, dans The Lancet Haematology, publication en ligne en avant-première, 19 mai 2016
Financement : National Cancer Institute, National Palliative Care Research Center, et Cambia Health Foundation
Source: The Lancet Online / Traduction et adaptation: NZ
P.S. Leucémie myéloïde aiguë = Leucémie aiguë myéloblastique
