L’amour, le sexe, la nourriture, le jeu, les drogues, la musique et …les cadeaux peuvent induire l’activation du circuit de la récompense. Les expériences spirituelles aussi. C’est ce que confirme cette étude de l’Université de l’Utah, menée par imagerie par résonance magnétique fonctionnelle (IRMf) auprès d’un groupe de mormons dévots. Des conclusions présentées dans la revue Social Neuroscience qui nous éclairent sur la neuroscience des pratiques spirituelles occidentales et, avant les Fêtes de Noël, réhabilitent, s’il le fallait et pour le bien-être aussi, la spiritualité.
Car les expériences religieuses et spirituelles activent les circuits de récompense du cerveau de la même manière que certains biens ou expériences » plus matérielles « , montrent ces recherches qui exploitent les dernières technologies d’imagerie cérébrale. Les chercheurs de l’Utah ont cherché à déterminer quels réseaux du cerveau sont impliqués dans la représentation des sentiments spirituels dans un groupe, ici de mormons dévots, en créant un environnement propice à un sentiment de paix et de proximité avec Dieu. Les auteurs précisent que c’est sur la base même de ces sentiments que les mormons vont prendre leurs » grandes » décisions de vie.
19 participants mormons, jeunes adultes, 12 hommes et 7 femmes ont été invités à exécuter plusieurs tâches en réponse à des stimuli destinés à les plonger dans leur spiritualité : l’expérience a duré 1 heure, dont, 6mn de repos, 6 mn de vidéo détaillant les statistiques d’adhésion de leur église, 8 mn de préceptes mormons et religieux, 8 mn de lecture de textes religieux, 12 minutes de stimuli audiovisuels par vidéo composée de scènes familiales et bibliques et 8 autres mn de citations. Au cours de la première partie de l’expérience, les participants ont écouté une série de citations, chacune suivie de la question » Sentez-vous l’esprit ? » Les participants répondaient par » pas du tout » à » oui, très fort « . Tous les participants ou presque,
· ont rapporté éprouver des sentiments typiques d’un service de culte intense,
· ont décrit un sentiment de paix et une sensation de chaleur
· beaucoup étaient en larmes à la fin de l’expérience.
Lors de la seconde phase de l’expérience, les participants étaient invités à appuyer sur un bouton lorsqu’ils ressentaient » un pic de spiritualité « . Via scanners, les chercheurs observent que :
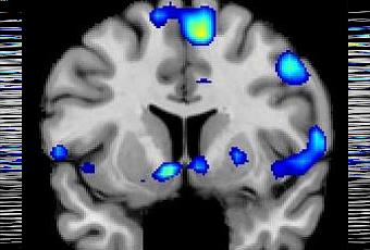
· ces pics de spiritualité sont associés et de façon reproductible à l’activation du noyau accumbens, une zone du cerveau impliquée fortement dans le traitement de la récompense.
· Ce pic d’activité cérébrale localisée intervient juste 1 à 3 secondes avant que les participants aient appuyé sur le bouton et cette observation est renouvelée à l’identique au cours de toutes les tâches de l’expérience.
· Simultanément à ces pics, les chercheurs constatent une accélération du rythme cardiaque et de la respiration.
ØEn plus des circuits de récompense du cerveau, les chercheurs constatent que les sentiments spirituels sont associés à l’activation de sites du cortex préfrontal médial, une zone du cerveau impliquée dans l’évaluation, le jugement et le raisonnement moral. D’autres zones associées à la concentration sont également actives.
L’expérience religieuse est peut-être la plus influente sur la prise de décision, » pour le bien et pour le mal « , écrivent les auteurs. Comprendre ce qui se passe dans le cerveau au moment de ce processus de ce décision est vraiment essentiel. Il reste néanmoins à dupliquer ces résultats avec des participants d’autres obédiences religieuses ou spirituelles. Cependant, c’est une première démonstration assez claire de ce que la spiritualité peut nous apporter. Ce sont aussi les premières conclusions d’étude du Religious Brain Project, un projet passionnant qui vise à comprendre comment le cerveau opère chez les sujets habités par de profondes croyances spirituelles et religieuses.
Source: Social Neuroscience Nov. 29, 2016 DOI: 10.1080/17470919.2016.1257437 Reward, Salience, and Attentional Networks are Activated by Religious Experience in Devout Mormons(Visuel@Jeffrey Anderson)

