
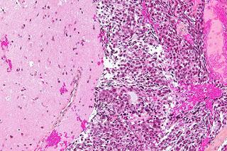
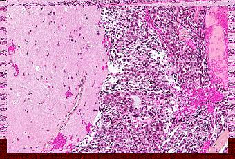
Micrographie à fort grossissement de métastases intracrâniennes (cerveau). Le tissu cérébral normal est localisé sur la gauche du cliché; la tumeur est visible sur la droite. La nette démarcation entre le tissu normal et le tissu tumoral est typique de métastases cérébrales.
Source: https://commons.wikimedia.org/wiki/File:Brain_metastasis_-_high_mag.jpg
Le lorlatinib est un puissant inhibiteur de la tyrosine kinase de troisième génération (TKI) ciblant ALK et ROS1 avec une activité préclinique avérée contre la plupart des mutations de résistance chez les gènes ALK et ROS1. Nous avons poursuivi des investigations sur l’activité antirumorale et l’innocuité du lorlatinib dans le cancer du poumon non à petites cellules (CPNPC) ROS1-positif.
Dans cet essai ouvert de phase 1/2 à simple bras, nous avons recruté des patients (âgés de 18 ans et plus) avec ou sans présence de métastases au niveau du Système Nerveux Central (SNC), présentant un statut de rendement ECOG (Eastern Cooperative Oncology Group) de 2 ou mois (≤1 pour la phase 1 seulement), admis dans 28 hôpitaux situés dans 12 pays dans le monde. Le lorlatinib, à raison de 100 mg par jour (doses croissantes de 10 mg une fois par jour à 100 mg deux fois par jour en phase 1 seulement) était administré per os au cours d’un cycle continu de 21 jours jusqu’à progression de la maladie, apparition d’effets toxiques, rétraction du consentement, ou décès. Le critère principal d’évaluation était la réponse tumorale intracrânienne, évaluée par un comité de relecture indépendant. Les critères d’activité ont été mesurés chez tous les patients qui avaient reçu au moins une dose de lorlatinib. (…).
Entre le 22 janvier 2014, et le 2 octobre 2016, nous avons examiné 364 patients, dont 69 atteints de CPNPC ROS1-positif ont été recrutés. 21 (30%) des 69 patients était naïfs de TKI, 40 (58%) avaient précédemment reçu du crizotinib comme seul TKI, et huit (12%) avaient précédemment un TKI ROS1 non-crizotinib ou deux ou plus TKIs ROS1. La durée médiane estimée du suivi pour la réponse était de 21.1 mois (Intervalle Interquartile [IQR] 15.2-30.3). 13 (62% ; Intervalle de Confiance [IC] 38-82) des 21 patients naïfs de TKI et 14 (35% ; 21-52) des 40 patients précédemment traités avec le crizotinib comme seul TKI, présentaient une réponse objective. Des réponse intracrâniennes étaient obtenues chez sept (64% ; IC 95% 31-89) des 11 patients naïfs de TKI et 12 (50% ; 29-71) des patients n’ayant reçu que du crizotinib au préalable. Les évènements indésirables de grade 3-4 liés au traitement le plus communément rencontrés étaient hypertriglycéridémie (13 [19%] patients sur 69) et hypercholestérolémie (dix [14%]). Des évènements indésirables graves liés au traitement sont survenus chez cinq (7%) patients sur 69. Aucun décès lié au traitement n’a été rapporté.
Le lorlatinib a présenté une activité clinique chez des patients atteints de CPNPC ROS1-positif avancé, ceux porteurs de métastases du SNC inclus ainsi que chez ceux ayant précédemment reçu un traitement crizotinib. Du fait que les patients réfractaires au crizotinib n’ont que peu d’options de traitement, le lorlatinib pourrait représenter une ligne de traite de ligne suivante. Prof. Alice T. Shaw, MD, et al, dans The Lancet Oncology, publication en ligne en avant-première, 25 octobre 2019
Financement : Pfizer
Source : The Lancet Online / Traduction et adaptation : NZ
