
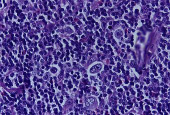
Micrographie d'un lymphome de Hodgkin des ganglions lymphatiques. On distingue la cellule de Reed-Sternberg, avec pour caractéristique d'être de grande taille, pourvue d'un cytoplasme amphiphile abondant, et d'être binucléée, chaque noyau comportant un nucléole acidophile entouré d'un halo.
Source iconographique et légendaire: https://commons.wikimedia.org/wiki/File:Hodgkin%27s_lymphoma_10X.jpg
Le pembrolizumab est un médicament approuvé pour le traitement du cancer avancé chez les adultes ; cependant, aucune information n’est disponible, ni sur son innocuité, ni sur son efficacité chez les patients pédiatriques. Notre but était d’établir la dose de pembrolizumab administrable en phase 2 et son innocuité et activité antitumorale chez les patients pédiatriques atteints de cancer avancé.
KEYNOTE-51 est un essai ouvert de phase 1-2 toujours en cours à l’heure actuelle. Dans cette analyse intermédiaire, des enfants âgés de 6 mois à 17 ans ont été recrutés dans 30 hôpitaux situés en Allemagne, Australie, Brésil, Canada, Corée du Sud, Etats-Unis, France, Israël, Italie, Royaume-Uni et en Suède. Les patients, atteints de mélanome ou d’une tumeur solide ou lymphome confirmés de manière centralisée, PD-L1 positifs, récidivants ou réfractaires, présentant un statut de rendement Lansky Play/Karnofsky de 50 ou plus, ont reçu du pembrolizumab par voie intraveineuse à une dose initiale de 2 mg / kg toutes les 3 semaines. Les paramètres de pharmacocinétique et de toxicité dose-limitante ont été utilisés pour établir la dose recommandable en phase 2 ; ainsi, l’innocuité et l’activité antitumorale à ladite dose ont été mesurés. Les critères principaux étaient la détermination des toxicités dose-limitantes à la dose maximale administrée, l’innocuité et la tolérance, ainsi que la proportion de patients présentant une réponse objectif au pembrolizumab pour chaque type de tumeur selon les critères RECIST version 1.1 ou selon les Critères Internationaux de Réponse des Neuroblastomes. L’innocuité et l’efficacité ont été évalués chez tous les patients traités, ayant reçu au moins une dose de pembrolizumab. Le compte rendu chez les patients atteints du lymphome de Hodgkin classique récidivant ou réfractaire ont fait l’objet d’un compte rendu ultérieur. (…). Cet essai est toujours en cours.
Sur les 863 patients dépistés entre le 23 mars 2015 et le 3 septembre 2018, 796 étaient atteints de tumeurs évaluables pour ce qui est de leur expression de PD-L1 (278 [35%] étaient PD-L1 positifs) ; 155 patients éligibles ont été recrutés et 154 ont reçu au moins une dose de pembrolizumab. La médiane d’âge était de 13 ans [Intervalle Interquartile - IQR - 8-15]. La durée médiane de suivi était de 8.6 mois [IQR 2.15-16.4]. Aucune toxicité dose-limitante n’a été rapportée en phase 1, et les concentrations plasmatiques en pembrolizumab étaient consistantes avec celles rapportées chez les adultes ; la dose recommandable en phase 2 a donc été établie à 2 mg / kg toutes les 3 semaines. Sur les 154 patients traités, 69 ont présenté des évènements indésirables de grade 3-5. (…). Deux patients sont décédés. (…). Sur 15 patients atteints du lymphome de Hodgkin récidivant ou réfractaire, deux ont présenté des réponses complètes et sept ont présenté des réponses partielles ; ainsi, neuf patients ont obtenu une réponse antitumorale objective (60.0%, Intervalle de Confiance [IC] 32.3-83.7). Sur 136 patients atteints de tumeurs solides et d’autres lymphomes, huit présentaient une réponse partielle (…) ; la proportion de patients obtenant une réponse objective étant de 5.9% (IC 95% 2.6-11.3).
Le pembrolizumab a bien été toléré, et a présenté une activité antitumorale encourageante chez les patients pédiatriques atteints du lymphome de Hodgkin récidivant ou réfractaire, ces résultats étant consistants avec ceux obtenus chez les adultes. Le pembrolizumab a montré une faible activité antitumorale dans la majorité des types de tumeurs chez les enfants ; et les réponses n’ont été observées que sur un petit nombre de tumeurs PD-L1 positives, suggérant que la seule expression de PD-L1 ne représente pas un biomarqueur suffisant pour la sélection des patients pédiatriques susceptibles de répondre aux inhibiteurs du point de contrôle de l’immunité PD1. Birgit Georger, MD, et al, dans The Lancet Oncology, publication en ligne en avant-première, 4 décembre 2019
Financement : Merck Sharp & Dohme, une filiale de Merck & Co.
Source : The Lancet Online / Traduction et adaptation : NZ
