
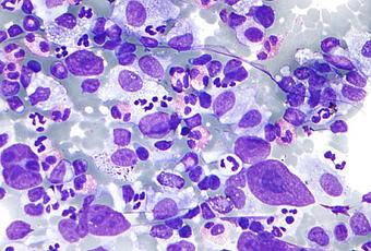
Cette micrographie montre un échantillon de cellules caractérisant un lymphome de Hodgkin: éosinophiles, cellules de Reed-Sternberg, plasmocytes, histiocytes
Source iconographique et légendaire:https://commons.wikimedia.org/wiki/File:Hodgkin_lymphoma_cytology_large.jpg
Les inhibiteurs du point de contrôle immunitaire ciblant PD-1 ont montré un bénéfice clinique chez les adultes atteints de cancer, mais les données concernant ces médicaments chez les enfants sont rares. Nous avons réalisé une étude de phase 1-2 sur le nivolumab, un anticorps monoclonal bloquant PD-1, afin de déterminer son innocuité, sa pharmacocinétique, ainsi que son activité antitumorale chez des enfants et des jeunes adultes atteints de tumeurs solides ou de lymphome récidivants ou réfractaires ne touchant pas le système nerveux central (SNC).
Nous avons réalisé une étude de phase 1-2 multicentrique ouverte à simple bras de confirmation et d’expansion de doses dans 23 hôpitaux situés aux USA. Les patients éligibles pour participation à la partie A de l’essai (phase de confirmation de dose) étaient âgés de 1-18 ans, présentaient des tumeurs solides ou pathologie évaluable (…) (selon les Critères d’Evaluation de la Réponse des Tumeurs Solides [RECIST] version 1.1), abstraction faite de l’histologie. Les patients éligibles pour la partie B de l’essai (expansion de dose) étaient âgés de 1-30 ans et atteints d’une pathologie évaluable (selon les critères RECIST) et étaient répartis selon les cohortes suivantes : rhabdomyosarcome, sarcome de Ewing, ostéosarcome, neuroblastome, lymphome de Hodgkin, lymphome non-Hodgkinien, et mélanome. Les patients de la partie A ont reçu le nivolumab 3 mg/kg par voie intraveineuse sur 60 minutes aux jours 1 et 15 sur un cycle de 28 jours selon un schéma d’étude évolutif (…) permettant la détermination de la dose recommandable pour une étude de phase 2.Les patients participant à la partie B ont reçu la dose recommandable à administrer, déterminée lors de la partie A de l’essai. Le critère principal était la tolérance, l’exposition systémique, la dose maximale tolérée, et l’activité antitumorale du nivolumab à la dose recommandée chez l’adulte à administrer chez les enfants et les jeunes adultes. (…).
85 patients ont été recrutés entre le 22 février 2015 et le 31 décembre 2018, et 75 patients étaient définis comme évaluables sur le plan de la toxicité. La durée médiane de suivi était de 30 jours (Intervalle Interquartile -IQR- 27-83). Dans la partie A, 13 patients ont été recrutés et 12 étaient évaluables pour la toxicité. Aucune désescalade de dose n’a été nécessaire ou de toxicités limitant la dose à administrer n’ont été relevées ; ainsi, la dose de nivolumab de 3 mg/kg a été confirmée comme la dose à recommander pour cette étude pédiatrique de phase 2. 72 patients ont été recrutés pour la partie B et 63 étaient évaluables pour la toxicité. Cinq (7%) patients pour la partie B ont présenté des effets toxiques limitant la dose. La toxicité la plus communément rencontrée, globalement, était anémie (35 [47%] patients sur 75 ; cinq patients en présentaient des manifestations de grade 3 ou de grade 4); la toxicité non-hématologique la plus communément rencontrée était fatigue (28 [37%] patients ; aucune manifestation n’atteignait le grade 3 ou le grade 4). Des réponses cliniques objectives ont été observées chez des patients atteints de lymphome (trois [30%] patients sur dix atteints du lymphome de Hodgkin et un [10%] patient sur dix atteints de lymphome non-Hodgkinien ; tous les patients « répondants » exprimait PD-L1). Des réponses objectives n’étaient pas observées chez les patients présentant d’autres types de tumeurs.
Le nivolumab s’est révélé sûr et bien toléré chez des enfants et des jeunes adultes et a montré une activité clinique dans les cas de lymphome. Le nivolumab n’ai montré aucune activité comme agent administré en monothérapie sur les tumeurs solides pédiatriques. Cette étude définit donc la dose recommandable en phase 2 et établit un profil d’innocuité favorable pour une administration du nivolumab chez des enfants et les jeunes adultes, qui peut servir de base pour de potentielles études de combinaison de traitements contre les cancers pédiatriques. Kara L Davis, DO, et al, dans The Lancet Oncology, publication en ligne en avant-première, 16 mars 2020
Financement : Bristol-Myers Squibb, Children’s Oncology Group, National Institute of Health (USA), Cookies for Kids Cancer Foundation
Source: The Lancet Online / Traduction et adaptation : NZ
