
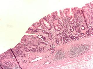
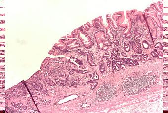
Adénocarcinome gastrique à différenciation cellulaire faible à modérée (…), présence d’une métaplasie intestinale importante – caractérisée par la présence de cellules calciformes (considérée comme un facteur de risque pour le développement d’un adénocarcinome) avec en outre la présence d’épithélium fovéolaire. L’antre gastrique (…) est visible : projections digitales dans l’intestin.
Source iconographique : https://commons.wikimedia.org/wiki/File:Gastric_adenocarcinoma.jpg
Le pembrolizumab, un anticorps anti-PD-1, résulte en une réponse tumorale chez environ 15% des patients atteints de cancer gastrique qui présentent un score combiné positif de PD-L1 ≥ 1. Le lenvatinib, un inhibiteur multikinase des récepteurs VEGF et d’autres récepteurs tyrosine kinase ont présenté une baisse des macrophages associés aux tumeurs et une infiltration augmentée de lymphocytes TDC8, résultant une augmentation de l’activité anti-tumorale des inhibiteurs de PD-1 sur un modèle expérimental in-vivo. Notre but était d’évaluer la combinaison lenvatinib + pembrolizumab chez des patients atteints de cancer gastrique avancé dans une étude de phase 2.
Cette étude était un essai de phase 2 ouvert à simple bras réalisé au Centre Hospitalier National du Cancer Est (Chiba, Japon). Les patients éligibles étaient âgés de vingt ans et plus, étaient atteints d’un adénocarcinome gastrique ou de la jonction gastro-oesophagienne métastasé ou récurrent, présentaient un statut de rendement ECOG (Eastern Cooperative Oncology Group) de 0 ou 1, ainsi qu’une pathologie évaluable selon les critères RECIST (Response Evaluation Criteria in Solid Tumors), version 1.1, abstraction faite du nombre de lignes de traitement précédemment administrées. Les patients ont reçu [(lenvatinib 20 mg per os une fois par jour) + (200 mg de pembrolizumab par voie intraveineuse une fois toutes les 3 semaines)] jusqu’à progression de la maladie, développement d’une toxicité intolérable, ou retrait de consentement. Le critère principal était l’obtention d’une réponse objective au traitement selon les critères RECIST, analysée chez tous les patients éligibles qui avaient reçu au moins une dose du traitement prévu par le protocole. Les analyses d’innocuité ont inclus tous ceux qui avaient reçu le traitement prévu par le protocole au moins une fois, abstraction faite de l’égibilité. (…).
Entre le 15 octobre 2018, et le 25 mars 2019, 29 patients ont été recrutés au cours de leur traitement de première ligne ou leur traitement de deuxième ligne. À la date de clôture de la base de données (20 mars 2020), la période médiane de suivi s’est était de 12.6 mois (Intervalle Interquartile [IQR] 10.5-14.3). 20 (69%, intervalle de Confiance [IC] 95% 49-85) patients sur 29 présentaient une réponse objective. Les évènements indésirables de grade 3 les plus communément relevés étaient hypertension (chez 11 [38%] patients), protéinurie (cinq [17%]), et diminution de la numération plaquettaire (deux [7%]). Aucun évènement indésirable de grade 4 lié au traitement, d’évènement indésirable grave, ou de décès lié au traitement n’est survenu.
Le traitement combiné [lenvatinib + pembrolizumab] a montré une activité anti-tumorale prometteuse accompagnée d’un profil de sécurité acceptable chez des patients atteints de cancer gastrique avancé. Sur la base de ces résultats, un essai confirmatoire sera programmé dans le futur. Akihito Kawazoe, MD, et al, dans The Lancet Oncology, publication en ligne en avant-première, 23 juin 2020
Financement : Merck Sharp & Dohme.
Source : The Lancet Online / Traduction et adaptation : NZ
