

Une personne sur 4 dans le monde souffre de stéatose hépatique ou maladie du foie non alcoolique. Cette équipe de l’Helmholtz Zentrum Münich a voulu décrypter les mécanismes en cause derrière le développement de cette maladie, qui peut entraîner un cancer du foie et parfois le décès. Ces travaux publiés dans la revue Cell Metabolism jettent en effet un nouvel éclairage sur les processus moléculaires en cause et désignent de nouvelles cibles thérapeutiques.
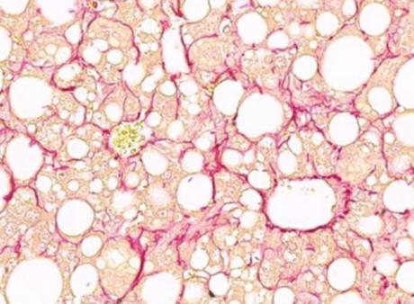
La stéatose hépatique non alcoolique (NAFLD : nonalcoholic fatty liver disease), caractérisée par l'accumulation de graisse dans le foie est la maladie du foie la plus courante dans le monde. Elle touche plus de 90% des personnes obèses, 60% des diabétiques et jusqu'à 20% des personnes de poids normal. Le foie peut « rester gras » sans perturbation de sa fonction normale mais cet état peut également évoluer vers une stéatohépatite non alcoolique, une forme plus agressive de stéatose hépatique associée à une inflammation et à une fibrose, une condition qui peut à son tour évoluer vers la cirrhose puis le cancer du foie et le décès. Sans rapport avec la consommation d'alcool par définition, le premier stade de la stéatose hépatique non alcoolique est asymptomatique.
Comprendre la progression de la maladie et tenter de l'inverser
La fibrose hépatique est un puissant prédicteur de mortalité à long terme chez les patients atteints de stéatose hépatique non alcoolique. Les mécanismes sous-jacents à la progression de la stéatose hépatique vers la stéatohépatite non alcoolique avancée et la fibrose hépatique restent encore mal compris.
Les hépatocytes perdent leur identité et leur fonction : Les chercheurs utilisent ici la génomique comparative pour analyser les mécanismes qui contrôlent le développement et les fonctions spécialisées du type cellulaire le plus abondant dans le foie, l'hépatocyte. Ils constatent ainsi que lors de la progression de la maladie vers la stéatohépatite non alcoolique, les hépatocytes accusent « une perte partielle d'identité », ils sont comme reprogrammés, explique le Dr Anne Loft, l’un des auteurs principaux de l’étude.
La reprogrammation des hépatocytes est étroitement contrôlée par un réseau de protéines : ces protéines agissent comme des « facteurs de transcription » qui entraînent un dysfonctionnement des hépatocytes. Le réseau de facteurs de transcription qui contrôle ce processus joue également un rôle dans la progression de la fibrose.
Ainsi, ces travaux révèlent une partie des mécanismes cellulaires en cause dans la progression de la stéatose à la stéatohépatite non alcoolique. Ces réseaux protéiques et ce mécanisme de perte d'identité des hépatocytes constituent des cibles d'intervention prometteuses pour le développement de nouvelles approches permettant de prévenir la progression de la maladie ou même d'inverser la fibrose existante.
Source: Cell Metabolism 7 July 2021 DOI : 10.1016/j.cmet.2021.06.005 Liver-fibrosis-activated transcriptional networks govern hepatocyte reprogramming and intra-hepatic communication
Plus sur la Stéatose hépatique
Équipe de rédaction SantélogAoût 10, 2021Rédaction Santé log
