
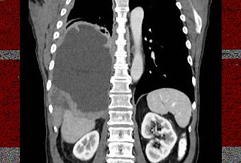
Mésothéliome malin dans le poumon droit - à gauche sur cette image -, vu par tomodensitométrie en coupe coronale.
Source iconographique et légendaire: https://fr.wikipedia.org/wiki/M%C3%A9soth%C3%A9liome
Il existe une justification préclinique pour inhiber l'angiogenèse dans le mésothéliome. Notre objectif était d'évaluer l'efficacité et l'innocuité de l'anticorps anti-VEGFR-2 ramucirumab associé à la gemcitabine chez des patients atteints de mésothéliome pleural malin prétraité.
RAMES était un essai de phase 2 multicentrique, randomisé, en double aveugle, contrôlé par placebo, réalisé dans 26 hôpitaux situés en Italie. Les patients éligibles étaient âgés de 18 ans ou plus, avaient un indice de performance de l'Eastern Cooperative Oncology Group (ECOG) de 0 à 2 et un mésothéliome pleural malin prouvé histologiquement progressant pendant ou après le traitement de première intention par pemetrexed plus platine. Les patients ont été randomisés (1:1) pour recevoir 1 000 mg/m2 de gemcitabine par voie intraveineuse aux jours 1 et 8 toutes les 3 semaines plus soit un placebo par voie intraveineuse (groupe gemcitabine plus placebo) soit 10 mg/kg de ramucirumab (groupe gemcitabine plus ramucirumab) le jour 1 toutes les 3 semaines, jusqu'à progression tumorale ou toxicité inacceptable. La randomisation centrale a été réalisée selon une méthode d'algorithme de minimisation, associée à un élément aléatoire utilisant les facteurs de stratification suivants : statut de performance ECOG, âge, histologie et temps de progression en première ligne. Le critère d'évaluation principal était la survie globale, mesurée à partir de la date de randomisation jusqu'à la date de décès quelle qu'en soit la cause. Les analyses d'efficacité ont été évaluées chez tous les patients qui avaient été correctement randomisés et qui avaient reçu le traitement qui leur avait été attribué, et les analyses de sécurité ont été évaluées chez tous les patients qui ont reçu au moins une dose de leur traitement assigné.
Entre le 22 décembre 2016 et le 30 juillet 2018, sur les 165 patients inclus, 161 ont été correctement affectés et ont reçu soit de la gemcitabine plus un placebo (n=81) soit de la gemcitabine plus du ramucirumab (n=80). Au verrouillage de la base de données (8 mars 2020), avec un suivi médian de 21,9 mois (Intervalle Interquartile -IQR- 17,7–28,5), la survie globale était plus longue dans le groupe ramucirumab (HR 0,71, IC à 70 % 0 ·59–0,85 ; p=0,028). La survie globale médiane était de 13,8 mois (IC à 70 % 12,7-14,4) dans le groupe gemcitabine plus ramucirumab et de 7,5 mois (6,9-8,9) dans le groupe gemcitabine plus placebo. Des événements indésirables de grade 3 à 4 liés au traitement ont été rapportés chez 35 (44 %) des 80 patients du groupe gemcitabine plus ramucirumab et 24 (30 %) des 81 patients du groupe gemcitabine plus placebo. Les événements indésirables de grade 3–4 liés au traitement les plus courants étaient la neutropénie (16 [20 %] pour la gemcitabine plus ramucirumab contre dix [12 %] pour la gemcitabine plus le placebo) et l'hypertension (cinq [6 %] contre aucun). Des événements indésirables graves liés au traitement ont été rapportés chez cinq (6 %) patients du groupe gemcitabine plus ramucirumab et chez quatre (5 %) patients du groupe gemcitabine plus placebo ; le plus fréquent était la thromboembolie (trois [4%] pour gemcitabine plus ramucirumab vs deux [2%] pour gemcitabine plus placebo). Il n'y a eu aucun décès lié au traitement.
Le ramucirumab associé à la gemcitabine a significativement amélioré la survie globale après une chimiothérapie standard de première ligne, avec un profil de sécurité favorable. Cette combinaison pourrait être une nouvelle option dans ce cadre. Carmine Pinto, MD, et al, dans The Lancet Oncology, publication en ligne en avant-première, 6 septembre 2021
Financement : Eli Lilly Italie
Source : The Lancet Online/ Traduction et adaptation : NZ
