
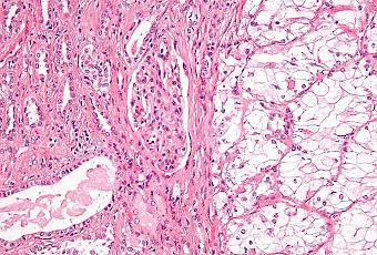
Micrographie d'un carcinome rénal, à droite de l'image; le rein non tumoral est à gauche de l'image.
Source iconographique et légendaire: https://www.wikiwand.com/fr/Cancer_du_rein
Les biomarqueurs prédictifs pourraient permettre une utilisation plus précise des inhibiteurs de points de contrôle immunitaire (ICI) dans le traitement des cancers avancés. Étant donné le rôle central des molécules HLA dans l'immunité, la variation au niveau des loci HLA pourrait affecter différemment la réponse aux ICI. Le but de cette étude épidémiologique était de déterminer l'effet de HLA-A*03 en tant que biomarqueur pour prédire la réponse à l'immunothérapie.
Dans cette étude épidémiologique, nous avons étudié les résultats cliniques (survie globale, survie sans progression et taux de réponse objective) après traitement pour un cancer avancé dans huit cohortes de patients : trois cohortes observationnelles de patients atteints de divers types de tumeurs avancées (le Memorial Sloan Kettering La cohorte Integrated Mutation Profiling of Actionable Cancer Targets [MSK-IMPACT], la cohorte Profile du Dana-Farber Cancer Institute [DFCI] et The Cancer Genome Atlas) et cinq essais cliniques sur des patients atteints d'un cancer avancé de la vessie (JAVELIN Solid Tumour) ou carcinome des cellules rénales (CheckMate-009, CheckMate-010, CheckMate-025 et JAVELIN Renal 101). Au total, ces cohortes comprenaient 3 335 patients traités par divers agents ICI (anti-PD-1, anti-PD-L1 et inhibiteurs anti-CTLA-4) et 10 917 patients traités par des approches thérapeutiques non ICI contre le cancer. Nous avons initialement modélisé l'association de la variation des acides aminés composant les macromolécules HLA avec la survie globale dans la cohorte de découverte MSK-IMPACT, suivie d'une analyse détaillée de l'association entre HLA-A*03 et les résultats cliniques dans MSK-IMPACT, avec réplication dans les cohortes supplémentaires (deux autres cohortes observationnelles et cinq essais cliniques).
HLA-A*03 était associé de manière additive à une survie globale réduite après traitement ICI dans la cohorte MSK-IMPACT (HR 1,48 par allèle HLA-A*03 [Intervalle de Confiance -IC- 95% 1,20-1,82], p =0,00022), la cohorte de validation DFCI Profile (HR 1,22 par allèle HLA-A*03, 1,05-1,42 ; p=0,0097) et dans l'essai clinique JAVELIN Solid Tumor pour le cancer de la vessie (HR 1,36 par allèle HLA-A*03, 1,01-1,85 ; p=0,047). L'effet HLA-A*03 a été observé pour les agents ICI et les types de tumeurs, mais pas chez les patients traités par des thérapies alternatives. Les patients atteints de HLA-A*03 avaient une survie sans progression plus courte dans la population de patients regroupée des trois essais cliniques CheckMate de nivolumab pour le carcinome rénal (HR 1,31, 1,01-1,71 ; p=0,044), mais pas chez ceux recevant des thérapies de contrôle (évérolimus). Des réponses objectives n'ont été observées chez aucun des huit porteurs de HLA-A*03 à l’état homozygote du groupe ICI (contre 59 [26,6 %] des 222 non porteurs de HLA-A*03 et 13 (17,1 %) des 76 de HLA- A*03 hétérozygotes). HLA-A*03 était associé à une survie sans progression plus courte chez les patients recevant ICI dans l'essai clinique randomisé JAVELIN Renal 101 pour le carcinome rénal (avelumab plus axitinib ; HR 1,59 par allèle HLA-A*03, 1,16– 2,16 ; p=0,0036), mais pas chez ceux recevant un traitement témoin (sunitinib). Des réponses objectives ont été enregistrées chez un (12,5 %) des huit homozygotes HLA-A*03 du groupe ICI (contre 162 [63,8 %] des 254 non porteurs HLA-A*03 et 40 [55,6 %] de 72 hétérozygotes HLA-A*03). HLA-A*03 a été associé à une altération des résultats dans la méta-analyse des 3 335 patients traités par ICI avec une signification à l'échelle du génome (p=2,01 × 10−8) sans preuve d'hétérogénéité des effets (I2 0 %, 95 % IC 0–0·76)
HLA-A*03 est un biomarqueur prédictif d'une mauvaise réponse à l'ICI. Une évaluation plus poussée de HLA-A*03 est justifiée dans des essais randomisés. Le portage HLA-A*03 pourrait être pris en compte dans les décisions d'initier une ICI chez les patients atteints de cancer. Vivek Naranbhai, DPhil, et al, dans The Lancet Oncology, publication en ligne en avant-première, 9 décembre 2021
Financement : National Institutes of Health, Merck KGaA et Pfizer
Source: The Lancet Online / Préparation post : NZ
