
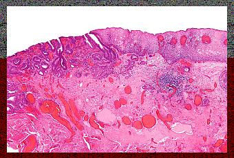
Adénocarcinome de l'oesophage.L’image montre un épithélium squameux normal (à droite de l'image) et un adénocarcinome (à gauche de l'image). L'adénocarcinome a une morphologie typique ; il est composé d'amas cohésifs de cellules disposées en glandes et présente les caractéristiques cytologiques d'une tumeur maligne (taille nucléaire variable, coloration nucléaire et forme nucléaire). Les mitoses, dans les cellules, sont abondantes.
Source: https://fr.wikipedia.org/wiki/Fichier:Esophageal_adenocarcinoma_-_low_mag.jpg
Le trastuzumab est un anticorps monoclonal dirigé contre HER2 (également appelé ERBB2). L'objectif principal de l'essai NRG* Oncology/RTOG-1010 était d'établir si le trastuzumab améliore la survie sans maladie lorsqu'il est associé à un traitement trimodal (paclitaxel plus carboplatine et radiothérapie, suivi d'une intervention chirurgicale) chez les patients atteints d'un adénocarcinome de l'œsophage non traité surexprimant HER2.
NRG Oncology/RTOG-1010 était un essai ouvert, randomisé, de phase 3 dont les patients participants provenaient de 111 institutions affiliées au NRG aux États-Unis. Les patients éligibles étaient des adultes (âgés de ≥ 18 ans) atteints d'un adénocarcinome de l'œsophage confirmé pathologiquement récemment diagnostiqué, de stade T1N1–2 ou T2–3N0–2 selon l'American Joint Committee on Cancer 7e édition, et avec un indice de performance de Zubrod de 0–2. Les patients ont été stratifiés par adénopathie (non versus oui [absence de maladies cœliaque] versus oui [ maladie cœliaque présente ≤ 2 cm]) et répartis au hasard (1:1) pour recevoir du paclitaxel par voie intraveineuse hebdomadaire (50 mg/m2 par voie intraveineuse pendant 1 h) et du carboplatine (zone sous la courbe 2, par voie intraveineuse en 30–60 min) pendant 6 semaines avec radiothérapie 50·4 Gy en 28 fractions (chimioradiothérapie) suivie d'une chirurgie, avec ou sans trastuzumab par voie intraveineuse (4 mg/kg la première semaine, 2 mg/kg par semaine pendant 5 semaines pendant la chimioradiothérapie, 6 mg/kg une fois avant la chirurgie et 6 mg/kg toutes les 3 semaines pendant 13 cycles de traitements commençant 21 à 56 jours après la chirurgie). Le critère d'évaluation principal, la survie sans maladie, a été défini comme le temps écoulé entre la randomisation et le décès ou la première persistance ou récidive de la maladie locorégionale, les métastases à distance ou la deuxième tumeur maligne primaire. Les analyses ont été faites en intention de traiter modifiée. (…) Le recrutement des patients pour cet essai est maintenant terminé, le suivi est toujours en cours.
606 patients ont été convoqués pour l'évaluation HER2 du 30 décembre 2010 au 10 novembre 2015, et 203 patients éligibles HER2-positifs ont été recrutés et assignés au hasard à la chimioradiothérapie plus trastuzumab (n = 102) ou à la chimioradiothérapie seule (n = 101). La durée médiane de suivi était de 2,8 ans (Intervalle Interquartile [IQR] 1,4–5,7). La survie médiane sans récidive était de 19,6 mois (Intervalle de Confiance [IC] à 95 % 13,5–26,2) avec la chimioradiothérapie plus le trastuzumab, contre 14,2 mois (10,5–23,0) pour la chimioradiothérapie seule (risque relatif 0,99 [IC 95 % 0·71–1·39], Ptest log rank =0·97). Des événements indésirables de grade 3 liés au traitement sont survenus chez 41 (43 %) des 95 patients du groupe chimioradiothérapie plus trastuzumab versus52 (54 %) des 96 patients du groupe chimioradiothérapie et des événements de grade 4 sont survenus chez 20 (21 %) versus 21 (22 %). Les événements indésirables liés au traitement de grade 3 ou pire les plus fréquents pour les deux groupes étaient des troubles hématologiques (53 [56 %] des 95 patients du groupe chimioradiothérapie plus trastuzumab contre 55 [57 %] des 96 patients du groupe chimiothérapie) ou des troubles gastro-intestinaux (28 [29 %] contre 20 [21 %]). 34 (36 %) des 95 patients du groupe chimioradiothérapie plus trastuzumab et 27 (28 %) des 96 patients du groupe chimioradiothérapie seule ont présenté des événements indésirables graves liés au traitement. Il y a eu huit décès liés au traitement : cinq (5 %) des 95 patients du groupe chimioradiothérapie plus trastuzumab (fistule bronchopleurale, fuite anastomotique œsophagienne, infection pulmonaire, mort subite et décès non spécifié) et trois (3 %) des 96 dans le groupe chimioradiothérapie (deux défaillances multiviscérales et une septicémie).
L'ajout du trastuzumab à la chimioradiothérapie néoadjuvante pour le cancer de l'œsophage surexprimant HER2 n'a pas été efficace. Le trastuzumab n'a pas entraîné d'augmentation des toxicités, ce qui suggère que de futures études le combinant avec ou utilisant d'autres agents ciblant HER2 dans le cancer de l'œsophage sont justifiées. Prof Howard P Safran, MD, et al, dans The Lancet Oncology, publication en ligne avant-première, 14 janvier 2022
*NRG=Nonprofit Research Group
Financement : National Cancer Institute et Genentech
Source : The Lancet Online / Préparation post : NZ
