
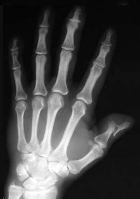
Radiographie antéro-postérieure de la main gauche d'un sujet atteint de rhumatisme psoriasique. Notez l'atteinte inflammatoire-érosive des articulations du premier doigt et l'atteinte initiale de l'interphalangienne distale du troisième doigt
Source iconographique et légendaire : https://it.wikipedia.org/wiki/Artrite_psoriasica
De nombreux patients atteints de rhumatisme psoriasique n'atteignent pas l'activité minimale de la maladie (MDA) avec le méthotrexate seul. Cette étude de phase 4 en ouvert visait à comparer l'atteinte de la MDA après l'introduction de l'adalimumab avec le méthotrexate en escalade de doses chez les patients atteints de rhumatisme psoriasique qui n'atteignent pas la MDA après un traitement initial au méthotrexate (≤ 15 mg toutes les semaines).
CONTROL était une étude de phase 4, randomisée, en deux parties, en ouvert, menée dans 14 pays et 46 sites. Nous avons recruté des patients atteints de rhumatisme psoriasique actif confirmé, naïfs de médicaments antirhumatismaux modificateurs de la maladie biologiques, avec une réponse inadéquate à 15 mg ou moins de méthotrexate. Dans la partie 1, les patients ont été randomisés (1:1) pour recevoir soit du méthotrexate 15 mg (par voie orale ou sous-cutanée) chaque semaine avec l'ajout d'adalimumab 40 mg (par voie sous-cutanée) toutes les deux semaines (groupe adalimumab plus méthotrexate) ou du méthotrexate en escalade de doses jusqu'à 25 mg par semaine (groupe méthotrexate intensifié). La randomisation a été effectuée à l'aide de la technologie de réponse interactive et stratifiée en fonction de la durée du traitement au méthotrexate (≤ 3 mois et > 3 mois). Dans cette étude ouverte, il n'y avait pas de camouflage ; à la fois les participants, les personnes donnant les interventions, celles évaluant les résultats et celles analysant les données étaient au courant de l'affectation des patients dans les groupes. Le critère d'évaluation principal était la proportion de patients ayant atteint la MDA à 16 semaines. Après 16 semaines (partie 2), les patients qui avaient atteint le MDA (répondeurs) ont vu leur traitement actuel maintenu ou modifié, tandis que les patients qui n'avaient pas atteint le MDA (non-répondeurs) ont vu leur traitement augmenté jusqu'à 32 semaines. Le critère d'évaluation principal de la partie 2 était la proportion de patients ayant atteint la MDA à 32 semaines, analysée chez tous les patients ayant reçu une ou plusieurs doses du médicament à l'étude.
Entre le 5 août 2016 et le 19 mars 2020, 245 des 287 patients initialement évalués ont été recrutés dans l'étude (50 % d'hommes et 50 % de femmes ; 92 % des patients étaient de race blanche). 123 patients ont été randomisés pour recevoir l'adalimumab plus le méthotrexate et 122 patients pour recevoir le méthotrexate intensifié. Les 245 patients ont tous été inclus dans l'analyse principale, et 227 ont terminé la partie 1 et sont entrés dans la partie 2. Une proportion significativement plus élevée de patients a atteint le MDA à 16 semaines dans le groupe adalimumab plus méthotrexate (51 [41 %] patients) par rapport au groupe méthotrexate intensifié (16 [13 %] patients ; p<0·0001). L'efficacité a été généralement maintenue pendant 32 semaines pour les patients ayant atteint la MDA à 16 semaines, avec 41 (80 %) des 51 répondeurs à l'adalimumab et 10 (67 %) des 15 répondeurs au méthotrexate maintenant la MDA à 32 semaines. Parmi les non-répondeurs à l'adalimumab, 17 (30 %) des 57 patients ont atteint la MDA à 32 semaines après l'escalade de dose du méthotrexate à une administration hebdomadaire. Parmi les non-répondeurs au méthotrexate, 50 (55 %) sur 91 ont atteint le MDA après l'introduction de l'adalimumab. Dans la partie 1, deux patients du groupe adalimumab plus méthotrexate ont signalé des événements indésirables graves ; et dans la partie 2, un répondeur à l'adalimumab, trois non-répondeurs à l'adalimumab et trois non-répondeurs au méthotrexate ont signalé des événements indésirables graves. Aucun nouveau signal de sécurité n'a été identifié.
Les résultats de ce nouvel essai de stratégie de traitement appuient l'ajout de l'adalimumab au méthotrexate croissant chez les patients atteints de rhumatisme psoriasique n'atteignant pas la MDA après un traitement initial au méthotrexate. Les résultats d'innocuité étaient cohérents avec les profils d'innocuité connus des thérapies. Laura C Coates, et al, MBChB, dans the Lancet Rheumatology, publication en ligne en avant-première, 25 février 2022
Financement : Abbvie
Source : The Lancet Online / Préparation post : NZ
