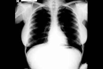
Ce week-end se tenait l'annuelle Julien's Auction, autrement dit, la vente aux enchères au Planet Hollywood Resort et Casino de Las Vegas. Et parmi les nombreuses pièces proposées, il y en avait un "nu" de Marylin Monroe qui a trouvé preneur pour une coquette somme d'argent. On cite 45.00 $. Pour rappel, l'année dernière, la même vente avait récolté 5.000$ pièce, pour quelques X-Ray du KIng Elvis. Mais attention, ne croyez pas qu'un nu intégral de Monroe se soit trouvé ainsi jeté en pâture. Il s'agit égalemnt d'un X-Ray des poumons de la Diva, pris en 1954 au Cedar's Lebanon Hospital devenu entretemps Le Cedar-Sinaï Medical ,alors que la rumeur de l'époque faisait état d'une éventuelle grossesse, suivie d'une fausse-couche de MM. En tout il y a quatre clichés dont un de son abdomen. Question. Comment ces clichés ont-ils filtré extra-muros du centre hospitalier où ils ont été stockés? Mystère! Comme la mort de l'icône. Marylin, et cela ne surprend plus personne, a toujours été entourée d'un épais mystère..même 48 ans après son décès!
utres objets ont fait l'objet de cette vente exceptionnelle, à savoir le divan sur lequel M.M. s'tendait alors qu'elle consultait chez le Dr Greeson, ainsi qu'une carte postale et le script de son dernier film "Someting's Got to Give" inachevé, comme chacun sait.

Sources Voici.fr et http://www.nydailynews.com/news/galleries/the_x_factor_amazing_xrays/the_x_factor_amazing_xrays.html
pour des clichés de patients anonymes, très surprenants..
