Hello !
Bon, vous n'avez peut -être rien remarqué, mais j'étais partie depuis quelques jours. Depuis vendredi en fait !
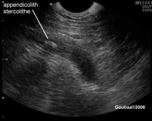
Je m'ennuyais des cliniques et des us et coutumes hospitalières alors, je me suis dit : tiens, pourquoi pas une crise d'appendicite. Oh ben oui, en voilà une idée qu'elle est bonne !
Dans la nuit de jeudi à vendredi, grosses douleurs au ventre, incompréhensibles...

Frissons, suées....
Bref, une courte nuit que j'ai réussi à ralonger dans la matinée. A midi, départ pour le boulot avec cette douleur au ventre au moindre mouvement....
Comme en ce moment j'ai des sacrés trous de mémoire, je pense à une petite hémorragie interne suite à un abus d'anticolagulant (quand je ne sais plus si j'ai pris, je reprends...)
A 16H30, je me décide à aller faire une prise de sang et à 17H30 ma médecin généraliste me reçoit... pour me prendre en urgence et dernière minute un RDV pour une écho.
Me voilà mettant un pied dans la clinique... Pour ne pas en sortir avant 3 jours. Et en plus, j'y suis allée les mains dans les poches, avec même pas un livre... Dures les 5 heures d'attentes dans un box aux urgences....
Car en plus, étant sous anticoagulant, je n'étais pas opérable de suite.... Il a fallu attendre le lendemain, avec un jour sans anticoagulant pour être sûr que ma coagulation rende possible mon opération.
L'appendicite !!! J'y pensais même plus à celle là, pour moi, c'était une maladie érradiquée de la surface terrestre vu que cela fait des années que je n'en ai pas entendu parler...
Bon tout c'est bien passé, sauf que le réveil et les heures qui suivents semblent interminables et que les cicatrices font un mal de chien. J'ai l'impression d'avoir 90 ans et d'être passée sous un train !
Me voilà chez moi pour une dizaine de jours ! Repos obligatoire et mérité, je suis KO !

