
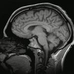
Je suis tombé sur cette image "Gif" ce matin en allant sur la page Wikipédia d'"Imagerie par résonance magnétique".
La patiente était curieuse de savoir à quoi ressemblait l'appareil étrange qui doit la photographier prochainement.
L'information y était disponible (*), illustrée également de ce "gif".
Je reste toujours complètement bluffé par ces images au delà de leurs fonctions diagnostiques.
Curieusement, je ne trouve pas les patients particulièrement pantois devant ces planches (CD-Rom maintenant).
(je parle du cas d'un examen normal où l'angoisse de la pathologie est levée, évidemment)
Comme si il existait une certaine banalisation de ce type d'imagerie.
Pourtant, ces planches ont pour moi une certaine dimension artistique.

Etude de l'embryon (Léonard de Vinci.1510-1513)
Le week-end fait bien d'arriver.Trop de boulot. Je commence à écrire des c...
