(à M.L.)-En allant assister à un évènement sportif
-En vacances, sur le bord de la mer
-En croisière
-Devant un rassemblement familial dont la famille était dans le coup
-À la radio, la télé où sur les ondes publiques
-Lors d'un retour de voyage à l'aéroport
Toutes les manières de demander en mariage avaient été à peu près crées.
Mais pas celle de Mathieu.
Il ne voulait pas de grands coups d'éclat public. Et si Mélane lui disait non? Ils étaient en couple depuis plus de 10 ans, mais peut-être que l'usure du temps allait lui faire reconsidérer son futur avec lui. Elle avait un bon boulot. Il avait un bon boulot. Ils étaient heureux et avaient envie des mêmes maisons pour bientôt. Ensemble. Un enfant? ils avaient soulevé la question et ils avaient cesser de se protéger au lit. À la grâce des étoiles! Ils étaient rendus là. Alors pourquoi pas l'épouser? Mathieu en avait envie. Il savait qu'elle en avait envie, car elle lui en avait parlé dès le début de leur relation. Mais il avait alors eu une réaction molle et peu convaincue du concept.
Au travers des temps, elle en avait donc fait son deuil de l'évènement. Sans trop de chagrin.
Et il ne faisait aucun doute que tous les deux, ensemble, ils étaient bien.
Mathieu avait donc acheté cette bague qu'il avait trouvé si jolie et qui lui commandait de son éclat de faire rayonner les yeux de sa belle avec la grande demande. Ce serait une réelle surprise, heureuse, espérait-il, et pour se protéger d'un éventuel refus, il avait invité et mis dans le coup trois de ses amies à elle, et deux de ses copains à lui, afin d'assister au moment. Ce serait son seul public. Dans une crèmerie que les deux amoureux fréquentaient plus jeunes, et qu'ils avaient eu envie, (une idée de Mathieu bien entendu), de revisiter, cette fois, avec leurs amis en ce vendredi chaud printanier.
Matt s'était commandé une crème glacée orange/framboise, Chuck, une molle croisée vanille/chocolat, Sam, une molle aux fraises trempée dans le chocolat, tout comme Camille. Trish c'était prise un sorbet à la menthe et aux pépites de chocolat et Sandy s'était prise un smoothie aux fraises. Tout le monde savait que Mélane se prendrait un smoothie au chocolat. Matt s'était chargé de le lui commander pour pouvoir mieux glisser dans son smoothie la bague qui ouvrirait la porte à la proposition de mariage.Mais Mélane était très énervée ce soir-là. Elle n,avait pas été mise en contact depuis au moins 6 mois avec Sandy qui travaillait alors à l'extérieur et les deux filles, Mélane surtout, voulaient rattraper le temps perdu. Tout le monde savait que la bague se trouvait dans le smoothie de Mélane, mais voilà, celle-ci ne le buvait pas, ou trop peu. Pas assez vite en tout cas.
Pour dire vrai, elle avait même dit à voix haute qu'elle n'avait pas tellement soif, ni faim et qu'elle se sentait déjà pleine. Un léger inconfort est passé par les regards, alors que tout le monde a semblé penser qu'elle ne finirait pas son drink et le jetterais, non terminé, la coûteuse bague avec.
Puis, Sandy eût une idée : concours de celle d'entre elle et Mélane qui terminerait son smoothie en premier. Mélane répéta qu'elle se sentait assez pleine, mais après avoir bien rigolé de Chuck qui peinait à savourer son cornet qui lui fondait dans les mains, plusieurs regards inquiets s'échangeaient encore. Cette fois bien dirigés vers Matthieu. Y avait-il un plan B? Puis, Mélane, qui avait toujours aimer relever les défis et qui voulaient s'amuser, surpris tout le monde et fixa Sandy du regard une fraction de seconde trop longtemps avant de dire un "GO!" de départ qui annonçait le début de la course à la fin du smoothie.
Toute l'attention était maintenant sur les deux filles, et la course fût facilement gagnée par Mélane, qui se leva, victorieuse, les bras dans les airs, tournant le dos à la table, laissant la chance à tout le monde de voir le contenu du fond de son verre...vide...
"Je suis trop forte" dit Mélane se retournant cette fois vers les mines déconfites de ces amis.
"Quoi?..." dit-elle enfin.
L'ambiance devint soudainement lourde et tous les regards ahuris se tournèrent vers Matt qui dit à son amoureuse:
"Tu...tu te sens bien?..."
"Ben pleine, mais bien pourquoi?"
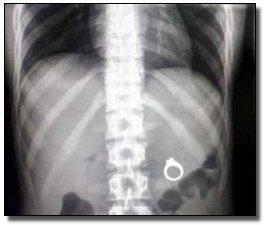
"Faudra...faudra que t'ailles prendre quelques radiographies ma chérie...."
Il mit un genou au sol et lui demanda: "Mélanie Laramée, accepte-tu de devenir ma tendre épouse?"
...et lui pointa des deux mains ses intestins...
Les radiographies confirmèrent ce que l'on avait cru. Mélane avait bien avalé la bague.Elle accepta , folle de joie, la demande en mariage surprise, mangea de nombreuses fibres tout en prenant des laxatifs qui firent ressortir son anneau "au chocolat". lava la bague qui restait précieuse, et la porte toujours avec fierté.
Ne précisant jamais le trajet à ceux qui se pâme devant l'éclat de cette bague qu'a connue la chose avant de se rendre à son doigt.
Shitty ring disent entre eux les 7 dans la confidence...
