Tartempion77
MES BLOGS
-
Actualités Scientifiques - Médicales
http://actuscimed.com/
Ce blog propose des traductions adaptées en Français d'abstracts d'articles de science médicales, issus de revues de médecine et de science à facteur d'impact très élevé, tout récemment parus sur internet.
DERNIERS ARTICLES (1937)
-
#trendsinecologyandevolution #faune #édiacarien #cambrien Extinction Ediacarienn...
Fossiles énigmatiques datant de l'EdiacarienLa transition entre l’Ediacarien et le Cambrien (E-C) marque la révolution géobiologique la plus importante depuis... Lire la suite
Publié le 19 juillet 2018 MALADIES, SANTÉ, SOINS -
#trendsinendocrinologyandmetabolism #adipocytes #grossesse #lactation...
Pink adipocytes = Adipocytes rosesPinking - pregnancy = Rosissement - grossessePost lactation = Après la lactationNormal state (ventral view) = Etat normal... Lire la suite
Publié le 18 juillet 2018 MALADIES, SANTÉ, SOINS -
#thelancethiv #VIH #suppressionvirale #homosexuels Suppression virale et...
Couple d'hommes homosexuels officialisant leur union par le mariageSource iconographique: https://commons.wikimedia.org/wiki/File:Gay_Marriage_SF. Lire la suite
Publié le 17 juillet 2018 MALADIES, SANTÉ, SOINS -
#thelancetdiabetesandendocrinology #vieillissement Endocrinologie et...
Avec l’accélération du vieillissement de la population dans le monde et me comorbidités endocrines associées empêchant souvent d’atteindre le grand âge en... Lire la suite
Publié le 16 juillet 2018 MALADIES, SANTÉ, SOINS -
#trendsinendocrinologyandmetabolism #perturbateursendocriniens #obésité...
Sources d'obésogènesPharmaceuticals = Produits PharmaceutiquesFood preservatives = ConservateursParabens = ParabènesNon-steroïdal estrogens = Oestrogènes... Lire la suite
Publié le 13 juillet 2018 MALADIES, SANTÉ, SOINS -
#thelancetpsychiatry #peurduvide #thérapiepsychologique...
Peur du Vide: Retrouver la Confiance!Il existe des traitements automatisés interactifs intéressants, utilisant la réalité virtuelle (RV) qui pourraient aider à... Lire la suite
Publié le 12 juillet 2018 MALADIES, SANTÉ, SOINS -
#thelancetoncology #carcinomeàcellulessquameuses #pazopanib #cetuximab...
Carcinome des cellules squameuses de la tête.Source:https://commons.wikimedia.org/wiki/File:Squamous_Cell_Carcinoma.pngL’angiogénèse est une étape dans le... Lire la suite
Publié le 11 juillet 2018 MALADIES, SANTÉ, SOINS -
#thelancetoncology #tumeurdufoie #doxorubicine #liposomes #ultrasons Sécurité...
Traitement du Cancer par Hyperthermie (Sonotherm 1 000) par Labthermics.Cette méthode vise à amplifier l'effet de la chimiothérapie (voir texte... Lire la suite
Publié le 10 juillet 2018 MALADIES, SANTÉ, SOINS -
#thelancetgastroenterologyandhepatology #adénocarcinomepancréatique...
Adénocarcinome du PancréasSource: https://www.flickr.com/photos/euthman/5558059951Le traitement actuel de l’adénocarcinome canalaire du pancréas inclut une... Lire la suite
Publié le 09 juillet 2018 MALADIES, SANTÉ, SOINS -
#thelancethaematology #lymphomefolliculaire #rituximab Rituximab et risque de...
Lymphome folliculaire.Source iconographique: https://commons.wikimedia.org/wiki/File:Follicular_lymphoma,_CD10.jpgLa transformation histologique du lymphome... Lire la suite
Publié le 06 juillet 2018 MALADIES, SANTÉ, SOINS -
#thelancetoncology #cancer #sanlogis Dépistage du cancer chez les sans-logis
Sans-abri dormant sur un banc - Copyright Ali Eminov / Flickr Images100 millions de personnes font l’expérience d’une vie itinérante chaque année dans le monde. Lire la suite
Publié le 04 juillet 2018 MALADIES, SANTÉ, SOINS -
#Cell #cartographiegénétique #tumeurmammaire Cartographie à l’échelle d’une...
1. Séquençage de l'ARN à l'échelle d'une cellule unique2. Analyses computationnelles3. Expansion phénotypique immune tumorale(Voir le texte du post ci-après)... Lire la suite
Publié le 03 juillet 2018 MALADIES, SANTÉ, SOINS -
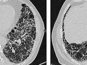
#thelancetrespiratorymedicine #fibrosepulmonaireidiopathique #biomarqueurs...
Tomographie à haute résolution du thorax d'un patient atteint de fibrose pulmonaire idiopathique.Source iconographique et légendaire:... Lire la suite
Publié le 02 juillet 2018 MALADIES, SANTÉ, SOINS -
#thelancet #spondylarthrite #spondyarthriteaxiale #adalimumab Efficacité et...
Structure de l'adalimumab.Source:https://commons.wikimedia.org/wiki/File:Adalimumab_structure.pngLe succès de la cessation d’un traitement chez des patients... Lire la suite
Publié le 29 juin 2018 MALADIES, SANTÉ, SOINS -
#Cell #ADNmitochondrial #transcription La transcription de l’ADN mitochondrial e...
Carte Génétique de Codage. Éléments non codants et régulateurs de l’ADNmt humain. Les gènes codés par l’ADN mitochondrial humain (ADNmt) sont annotés et... Lire la suite
Publié le 28 juin 2018 MALADIES, SANTÉ, SOINS -
#Cell #mTORC1 #cytoplasme #particules #phases mTORC1 contrôle les séparations...
mTORC1 activity tunes ribosome concentration and crowding = L'activité de mTORC1 agit comme modulateur de la concentration en ribosome. Lire la suite
Publié le 27 juin 2018 MALADIES, SANTÉ, SOINS -
#Cell #exclusif #immunitéanti-tumorale #pointdecontrôle #LSD1 #L’ablation de LSD...
Tumor cell = Cellule tumoraleLSD1 loss = Perte de LSD1ERV transcription = Transcription de ERVRISC stability = Stabilité de RISCdsRNA stress = Stress de l'ARN... Lire la suite
Publié le 26 juin 2018 MALADIES, SANTÉ, SOINS -
#thelancet #diabètedetype2 #MEDI0382 #GLP-1 #récepteurduglucagon Effets de...
Marlon Brando en 1973. Marlon Brando a souffert, plus tard, d'obésité (140 kg pour 1m75) et de diabète de type 2Source iconographique et légendaire:... Lire la suite
Publié le 25 juin 2018 MALADIES, SANTÉ, SOINS -
#Cell #facteurdetranscription #différenciation Convergence Phénotypique : des...
Neuronal diversity in the Drosophila optic lobes = Diversité neuronale des lobes optiques chez DrosophilaSingle-cell type RNA-Seq and single-cell RNA-Seq =... Lire la suite
Publié le 21 juin 2018 MALADIES, SANTÉ, SOINS -
#thelancetchildandadolescenthealth #pédiatrie #otite #spneumoniae #vaccin...
Otite Moyenne AigüeSource:https://commons.wikimedia.org/wiki/File:Otitis_media_incipient.jpgAvec l’utilisation à grande échelle du vaccin pneumococcique conjugu... Lire la suite
Publié le 20 juin 2018 MALADIES, SANTÉ, SOINS
