Tartempion77
MES BLOGS
-
Actualités Scientifiques - Médicales
http://actuscimed.com/
Ce blog propose des traductions adaptées en Français d'abstracts d'articles de science médicales, issus de revues de médecine et de science à facteur d'impact très élevé, tout récemment parus sur internet.
DERNIERS ARTICLES (1937)
-
#trendsincellbiology #nucléole #longévité Fonction nucléolaire dans la régulatio...
Représentation schématique de la Structure du Nucléole. La figure illustre l’architecture tripartite du nucléole, comprenant un centre fibrillaire (FC), un... Lire la suite
Publié le 18 mai 2018 MALADIES, SANTÉ, SOINS -
#thelancetglobalhealth #tensionartérielle Mois de Mai 2017 de la Mesure de la...
Prévalence de l'hypertension artérielle dans le monde (données de 2014).Source: https://en.wikipedia.org/wiki/HypertensionLa tension artérielle élevée représent... Lire la suite
Publié le 17 mai 2018 MALADIES, SANTÉ, SOINS -
#thelancetdiabetesandendocrinology #diabètedetype1 #glycémie #îlotsdelangherans...
Schéma indiquant une méthode de transplantation d'îlots de Langherans à partir d'un donneur sain à destination d'un receveur atteint de diabète de type 1. Lire la suite
Publié le 16 mai 2018 MALADIES, SANTÉ, SOINS -
#thelancetrespiratorymedicine #mésothéliome #tremelimumab #durvalumab...
Micrographies électroniques de mésothéliome pleural malin.L'image montre les caractéristiques du mésothéliome:Irrégularités des membranes nucléaires... Lire la suite
Publié le 15 mai 2018 MALADIES, SANTÉ, SOINS -
#Cell #mélanome #vorinostat #BRAF #MEK Vulnérabilité acquise du mélanome...
BRAF V600E mutant melanoma = Mélanome porteur de la mutation BRAF V600ESensitive cell = Cellule sensibleResistant cell = Cellule résistanteHDACi =... Lire la suite
Publié le 14 mai 2018 MALADIES, SANTÉ, SOINS -
#thelancet #cancerducolon #biomarqueurs Validation internationale du consensus...
Schéma indiquant les différents stades de développement du cancer du colon.Inner lining = Paroi interneMuscle = MuscleOuter lining = Paroi externeSource... Lire la suite
Publié le 11 mai 2018 MALADIES, SANTÉ, SOINS -
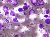
#thelancethaematology #lymphomediffus #gemcitabine #oxaliplatine #rituximab...
Lymphome diffus à larges cellules B.Source: https://commons.wikimedia.org/wiki/File:Large_b_cell_lymphoma_-_cytology_small.jpgLa combinaison de rituximab,... Lire la suite
Publié le 09 mai 2018 MALADIES, SANTÉ, SOINS -
#thelancet #maladiesnontransmissibles L’investissement dans les maladies...
Le fardeau des maladies non transmissibles représente plus de 50% du fardeau mondial de morbidité générale (2015)Source:... Lire la suite
Publié le 07 mai 2018 MALADIES, SANTÉ, SOINS -
Relâche de votre blog Actualités Scientifiques - Médicales : du 25 avril au 6 ma...
Paysage champêtre, Kergoff, Sulniac, Morbihan, France, 25 avril 2018Votre blog Actualités Scientifiques - Médicales fait actuellement relâche. Reprise des... Lire la suite
Publié le 25 avril 2018 MALADIES, SANTÉ, SOINS -
#Cell #cancer #prostate #évolution Le paysage des stades d’évolution des...
Low - Risk Monoclonal = Monoclonale à faible risqueHigh Risk Monoclonal = Monoclonale à risque élevéLow - Risk Monoclonal = Monoclonale à faible risqueHigh -... Lire la suite
Publié le 24 avril 2018 MALADIES, SANTÉ, SOINS -
#Cell #exclusif #cancerdusein #chimiorésitance Evolution de la chimiorésistance...
1. chimiothérapie néoadjuvante administrée à 20 patients atteintes de CSTN2. Tissu congelé; Dissociation en noyaux uniques; Séquençage de l'ADN à l'échelle d'un... Lire la suite
Publié le 23 avril 2018 MALADIES, SANTÉ, SOINS -
#trendsinendocrinologyandmetabolism #diabètedetype2 #microRNA-143 Un nouveau...
miR-143 perturbe la voie de signalisation de l’insuline et stimule la différenciation adipocytaire. L’obésité induite par la surexpression de miR-143 soumet ORP... Lire la suite
Publié le 20 avril 2018 MALADIES, SANTÉ, SOINS -
#trendsinpharmacologicalsciences #ß-lactamases #antibiotiques Le défi continu...
Figure en ruban de la Metallo-ß-lactamase en ruban de New Delhi (NDM-1). (A) Pliage de la structure tertiaire αßßα avec les sites de fixation d’un métal de NDM-... Lire la suite
Publié le 19 avril 2018 MALADIES, SANTÉ, SOINS -
#trendsinpharmacologicalsciences #cancer #immunothérapie #Wnt-caténine...
Tumor cell = Cellule tumoraleDendritic cell = Cellule dendritiqueT cell = Lymphocyte TLa signalisation Wnt/ß caténine soumet le Système Immunitaire Tumoral à... Lire la suite
Publié le 18 avril 2018 MALADIES, SANTÉ, SOINS -
#trendsinendocrinologyandmetabolism #ARNnoncodant #mélatonine...
Interactions fonctionnelles entre ARNmi* (en général des ARNnc) et Signalisation de la Mélatonine. Les flèches rouges et vertes représentent des processus de... Lire la suite
Publié le 17 avril 2018 MALADIES, SANTÉ, SOINS -
#thelancetendocrinologyanddiabetes #diabètedetype2 #fonctionrénale #néprilysine...
Structure de la néprilysineSource: https://en.wikipedia.org/wiki/File:Neprilysin_1r1h.pngL’inhibition de la néprilysine provoque des effets favorables... Lire la suite
Publié le 16 avril 2018 MALADIES, SANTÉ, SOINS -
#Cell #carcinomerénal #métatstases Le suivi de l’évolution du cancer révèle les...
Multi-region molecular profiling = Profilage moléculaire multi-régionalLiver = FoiePancreas = PancréasPrimary = PrimaireRapid progression = Progression... Lire la suite
Publié le 13 avril 2018 MALADIES, SANTÉ, SOINS -
#trendsincognitivescien #événementsstressants #signauxcérébraux ces Les...
Les événements stressants sont des signaux formateurs pour le cerveau. L’imprévisibilité est la caractéristique clé de la plupart des événements stressants. Lire la suite
Publié le 12 avril 2018 MALADIES, SANTÉ, SOINS -
#thelancetpsychiatry #traumatismecrânien #démence Risque de démence à long...
Un traumatisme crânien est un choc au crâne conduisant à des lésions cérébrales et des fractures du crâne (cliché ci-dessus)Ci-dessus: fracture du crâne chez... Lire la suite
Publié le 11 avril 2018 MALADIES, SANTÉ, SOINS -
#thelancetinfectiousdiseases #paludisme #moustiquaireimprégnéd’insecticide...
L'utilisation d'une moustiquaire imprégnée d'insecticide à action de longue durée est l'un des moyens les plus efficace de protection contre le paludisme.... Lire la suite
Publié le 10 avril 2018 MALADIES, SANTÉ, SOINS
